予約
web予約

姫路市の歯医者 姫路駅前グランツ歯科 | 姫路駅徒歩3分。インプラント・矯正歯科・小児歯科・口腔外科など幅広い診療に対応

  • 電話する
  • WEB予約
  • アクセス
MENU

姫路駅前グランツ歯科
ブログ

Blog

インプラントが怖い?治療の流れと不安を解消するポイント

「インプラントに興味はあるけど、手術が怖くて決断できない…」 そう感じる方は少なくありません。 インプラント治療は、歯を失った方にとって優れた選択肢ですが、「手術が痛いのでは?」「リスクはないの?」といった不安を抱えるの…

タバコは歯の大敵?

こんにちは姫路駅前グランツ歯科の歯科衛生士です🦷今回は、タバコが歯に与える影響についてお話しします。「タバコを吸うと歯が黄ばむ」「喫煙者は口臭が強い」といったお話を聞いたことはありませんか?実はそれだけで…

セラミックって何がいいの?〜セラミックと銀歯の違い

みなさんこんにちは、歯科医師の西田です。 新しい1年が始まりましたね!みなさまにとって明るく楽しい年になりますようお祈り申し上げます。 さて、虫歯治療の際、「銀歯」か「セラミック」かという選択肢をお聞きになったことがある…

根管治療ってどんな治療? わかりやすく解説!

こんにちは。歯科医師の向井です。「歯の根の治療」と聞くと、なんだか大変そうなイメージを持つ方も多いのではないでしょうか? 今回は、そんな根管治療について、できるだけわかりやすく解説していきます。 根管治療が必要になるケー…

ゼロボーンロスコンセプト(インプラント)

姫路駅前グランツ歯科、歯科技工士の筒井です。 先日、新大阪にて「Glanz Dental Private Seminar 臼歯部抜歯即時インプラント編」に、アシスタントとして参加させていただきました。このコースでは、院長…

今の歯ブラシで大丈夫??

みなさまこんにちは♪姫路駅前グランツ歯科の歯科衛生士です✨   一段と寒さが増し冬を感じるようになりましたが、みなさまお障りなくお過ごしでしょうか。今年も残すところわずかとなりました。年々、月日が経つのが早…

むし歯にならない方法

こんばんは。姫路駅前グランツ歯科のチーフマネージャーです。 本日は、むし歯予防に効果的なおすすめのセルフケアをご紹介します ①フッ素入りの歯磨き粉を使用しよう 厚生労働省では、フッ化物イオン濃度(フッ素濃度)1000~1…

秋に起こりやすいお口トラブル

  こんにちは🍁姫路駅前グランツ歯科の歯科助手です🦷10月も残りわずかとなり、風も肌寒く感じる季節になりましたが、いかがお過ごしでしょうか?🧣 私は先日、食べ歩き…

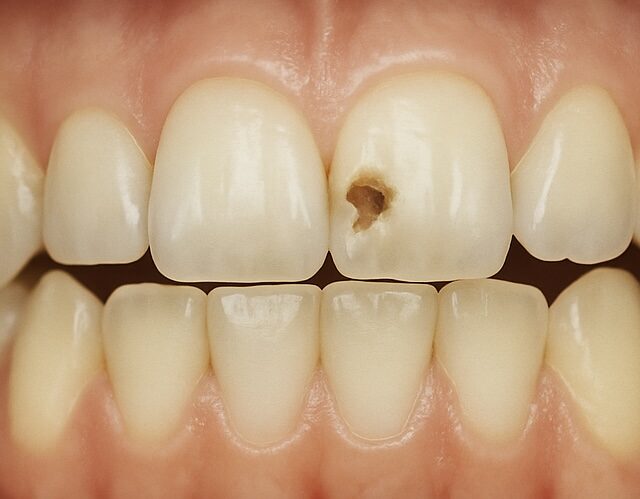
虫歯の検査って何するの?

みなさまこんにちは✨ 姫路駅前グランツ歯科の衛生士です♪ 10月の半ばになりましたが、まだ日中は暖かい気温です🍂🍂しっかり水分補給をして体調管理を行ってください&#x1f60…

歯科医療のデジタル化

みなさま、こんばんは🌃姫路駅前グランツ歯科の歯科技工士です。   今回は当院で導入しているデジタル機器についてお話させていただきます😆 口腔内スキャナー(iOS) 口腔内スキャナー(iOS…

1 2 3 4 5 6 7 8 23