義歯(入れ歯)
義歯(入れ歯)

入れ歯とは、様々な理由で歯がなくなってしまった場合の治療方法の一つです。
歯と歯ぐきの部分を人工で作り、失った部分を補います。入れ歯は設計に応用が効くため、一本だけ歯を失った場合の小さい入れ歯から、全て歯を失った場合のいわゆる総入れ歯まで広く適応させることができます。これが入れ歯のメリットであると言えます。
しかしながら、「入れ歯は簡単に作ってもらえる」と思っていらっしゃる方が多いですが、実際はそうではありません。
患者様のお声の中にも、「私の友人は入れ歯でも何でも食べているが、私は同じ入れ歯でもうまくいかない。どうしてなの?」という意見も多くあります。それは、歯を失っている状況が人によって全く異なっている、ということがあります。
口の中の状況が違うことの一つに、歯を失っている場所が人によって違うということがあります。みんな同じように歯が抜けるわけではありません。
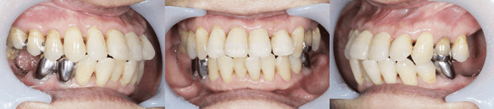
下の患者様をご覧ください。上下ともに奥歯が抜けていますが、前歯は上下ともに残っています。


このような患者様に対する入れ歯治療はポイントさえ押さえれば、それほど難しくありません。
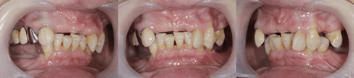
では、下のような患者様はどうでしょうか?


上の歯は前歯を中心に失っているのに対し、下の歯は奥歯を中心に失っています。このような場合を「すれ違い咬合」といって、入れ歯を作っても天然の歯による支持が不足することになるため、うまくいきません。
この場合は、インプラントを適切に配置することで、「すれ違い」を回避すれば、入れ歯を作りやすくすることが可能です。
このように、患者様ごとに難易度が異なり、それをしっかりと把握して対処する必要があります。
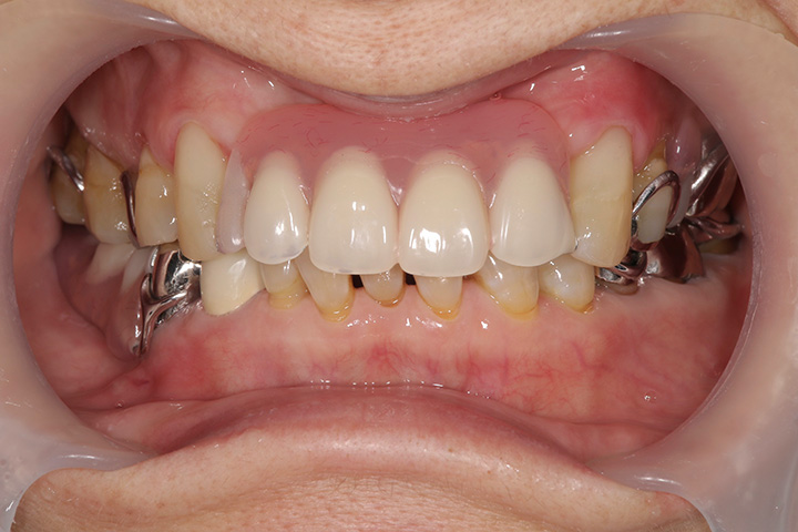
「初めて部分入れ歯を装着することになった」という方からの質問で、どういう構造なのか聞かれることがあります。

部分入れ歯は人工の歯だけだと落ちてくる、動くという現象が起こるため、上の写真のようにクラスプという細い金属を残っている歯にかけることになります。

こちらの写真は部分入れ歯を装着したところですが、クラスプ(残っている歯にかかっている細い金属)が確認できます。
では、全て歯がない状態、つまり総入れ歯の状態だとどうでしょうか。
総入れ歯でも患者様によって、治療の難易度が異なります。
下の二つのレントゲンを比較してみます。


赤の矢印の長さに注目してください。これは下顎の骨の厚みです。この骨の上の歯ぐきに入れ歯が乗ります。この骨の厚みがあるほど、しっかりした土台になり、入れ歯が安定します。逆に、骨の厚みがないということは、土台がないということになるので、入れ歯は食事のたびに動くことになり、動くたびに歯ぐきを傷つけてしまいます。
土台の状態以外にも、口の周りの筋肉、舌の筋肉のバランスによっても入れ歯の安定性は大きく異なりますので、入れ歯を新しく作る際には、適切な診査と処置が必要になります。
上でも説明したように、入れ歯の症例の中には、その人固有の骨や歯肉の質の問題で、どうしても入れ歯がうまく作れない場合があります。また年齢の問題で、もっと強い力で食事したいという方もいらっしゃいます。そういう場合には、入れ歯の支えとして、インプラントを用いる方法があります。

この患者様は、下の顎に2本のインプラントを用いています。インプラントの手術は30分で終了しました。写真にあるコネクターで、入れ歯をパチっと固定できます。
入れ歯のことを、専門用語で「義歯」と言います。
義歯の種類には様々なものがあるので、いくつかご紹介します。

歯科用のプラスチックであるレジンで土台(床)を作ります。適用範囲は広くほとんどの症例に使用することが出来ます。何かあった時の修理も可能です。型取りのやり方によって、保険診療の義歯と自由診療の義歯(BPS)があります。金属に比べると強度が弱いため、上顎の部分にもある程度の厚みが出てしまうのがデメリットです。

金属で土台の部分を作ります。部分義歯の場合、フレームが強固になるために義歯が安定し、さらに残っている歯を守る役割も果たします。
総義歯の場合、一番皆様が違和感を感じる上顎の部分がギリギリまで薄く作れるために発音や食事の違和感を感じにくくなります。また、金属は温度を伝達しやすいので、冷たいものは冷たい、熱いものは熱いと感じやすくなります。
使用する金属にはいくつか種類がありますので、相談させていただきます。
(チタン、プラチナなど)

部分義歯の場合、残っている歯に金属のバネを引っ掛ける必要があるため、笑った時に目立つ場合があります。ノンクラスプデンチャーだとバネの部分も樹脂で作ることができるため、見た目に違和感を感じにくいと言えます。ただし、適応が限られているので、患者様に応じて相談させていただきます。

上で説明した、インプラントを補助的に用いる方法です。患者様のご希望や状態により、インプラントの本数やコネクターの種類は異なります。

姫路駅前グランツ歯科
院長挨拶
院長の粟谷英信と申します。
姫路での開業以来、地域の皆様に支えられながら、これまで多くの患者様と向き合ってまいりました。開業当時は「削って詰める」→「また悪くなって歯医者に行かないといけない」の繰り返しをさせないような治療をしよう、という思いがありました。
これまでたくさんの患者様に来ていただきましたが、やはり、一時しのぎの治療ではなく、根本的な治療が必要な患者様が多くいらっしゃるな、という印象です。
グランツが大切にしているカウンセリングで色々お話を伺い、患者様に合った治療を提供させていただき、特にインプラントと矯正治療に関しては「きれいに治って嬉しい」「こんなところを探していた」とたくさんのお喜びの声をいただいております。
姫路にも多くの歯科医院がございますが、グランツの役割は、「しっかり(根本的に)治療して、きれいでよく噛める状態を維持したい」、という思いに応えることだと思います。
スタッフ数も増え、チームワークも向上し、より一層皆様のニーズに応えられるようになりました。今後とも姫路駅前グランツ歯科をよろしくお願いします。