矯正治療
矯正治療

矯正歯科とは、歯並びをきれいに治す治療のことをいいます。
笑った時の歯の見え方で、その人の印象が変わります。例えば、歯がガタガタだと、話している相手も気になるかもしれません。鏡を見て、ご自身の前歯の傾きはどうでしょうか。きれいに並んでいるように見えても、歯が傾いていると、相手に気づかれやすいという文献もあります。1)海外では、歯並びが悪い場合の矯正治療が一般的ですが、日本でもその傾向が強くなっているように思います。
私のところにも「歯並びを治したい」という要望で来院される患者様がいらっしゃいますが、ほとんどが通常の矯正歯科治療できれいになります。
治療前
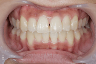
治療後
しかしながら、「見た目は気にしないから歯並びはこのままで良い」と思っている方でも、いくつかの理由から、歯並びを治した方が良いというパターンがあります。私は矯正治療の目的は、単に歯の見た目を良くするためではないと考えています。
上記症例の患者様ですが、治療前と治療後の歯肉の色の違いに気がつかれましたでしょうか?
治療前は、歯のガタガタが原因で歯磨きがうまくできず、歯肉炎(歯垢や歯石が原因で起こる歯肉の炎症)になり、歯肉が赤く腫れあがっています。
歯と歯の間には、むし歯ができてしまっていました。
治療前
歯の裏側にも歯石がついているのがわかります。
治療後
治療後は、歯並びが良くなり、歯磨きがしやすくなったのと、患者様自身の努力の甲斐もあり、歯肉の腫れがひき、きれいなピンク色で引き締まった様子がわかります。
この現象は、歯並びが悪い状態で放置している方に多く見られます。
人間は食事をする時、または食いしばったりする時に、上と下の歯を接触させますが、その際の一連の動きは、顎の関節や習癖の問題があり、複雑になっています。そしてその時にかかる力は、強い人だと自分の体重の何倍にもなると言われています。きれいに歯が並んでいると、その力を受け流すことができるのですが、歯並びが悪い場合、その力が受け切れません。何も治療していない天然の歯であれば、上下の歯が均等にすり減り、トラブルになるスピードは緩やかなこともあるのですが、詰め物(インレー)や被せ物(クラウン)などの人工物が入っている場合はそうはいきません。それらが取れたということで来院される方は少なくありませんが、その原因は歯並びかもしれません。その場合、取れた人工物をそのまま戻すことは歯にとって良いでしょうか?

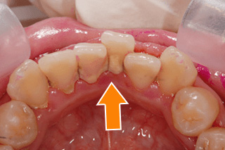
20代前半の女性
前歯がガタガタになっています。上下の犬歯の関係に注目してください。歯並びが悪いせいで、上下の犬歯が当たっていません。

「取れては着けて」の繰り返しで、どんどん歯が悪くなってしまいます。ゆくゆくは歯を失うことになりかねません。少しでも歯を長持ちさせたいということで、この患者様は、矯正することになりました。

歯並びが悪い人には、姿勢が悪い人が多いということがあります。上に述べたように、食べる時、歯をくいしばる時に、歯並びが悪いとうまくバランスが取れません。それが姿勢に影響するとも言われています。スポーツ選手でもマウスピースをつけている人が多くなってきています。それは歯を守るという役割もありますが、かみ合わせのバランスを良くして、姿勢を整え、力を出しやすくするという役割もあります。
逆に、姿勢が悪いと歯が悪くなるということもあります。例えば、頬杖をつく癖がある人は、歯に持続的な力がかかり、横から押しつぶされたような歯並びになります。他にも慢性的な鼻炎があり、口呼吸になっている場合、出っ歯になってしまうということは、とてもよく起こります。口呼吸だと、口がぽかんと開いてしまい、唇の力が弱くなるので、歯が舌の力で前に押し出されてしまうのです。
顎の関節は左右の耳の前あたりにあります。顎は食べ物を切ったり、すりつぶしたり、複雑な動きをするので、筋肉や関節もかなり複雑な動きをします。なので、歯並びと顎の関節、筋肉は密接に関係しています。歯並びが悪いせいで、顎の関節が変形してしまっている患者様も度々目にします。しかし、歯並びが悪くても、トラブルが出ない、というケースもあり、そこには習癖や歯医者での治療がきっかけになり、突然症状が出てくるということも珍しくはありません。
このように歯並びが悪いと、見た目以外にも弊害があります。
したがって、歯並びを治療することは、発音障害を改善すること、前歯で食べ物をしっかりとかみ切ることや奥歯で食べ物を噛み砕くこと、全身とかみ合わせのバランスを調整すること、歯のガタツキをなくすことにより歯の清掃性を良くして、歯の寿命を延ばすという予防的な効果も持ち合わせています。さらに、成長期のお子さまには、顎、顔の適切な成長発育を促す効果もあります。
子どもの矯正(小児矯正)は、あごの骨のバランスや大きさを整える「1期治療」と、永久歯が生えそろってから歯の位置を整える「2期治療」の2段階からなります。
乳歯と永久歯が混じった時期の治療で、主に成長を利用した治療を行います。(6~10歳)
歯の1本1本に装置をつけ、歯の根までコントロールして最終的な咬み合わせを作ります。
永久歯に生えそろった方を対象とするのが成人矯正で、「2期治療」ともいわれます。近年、治療技術の進歩により、矯正治療に年齢は関係なくなり、患者様のライフスタイルに合わせてさまざまな治療法が選択できるようになりました。

いわゆる出っ歯の状態です。上顎の骨の方が下顎の骨よりも前方に出ており、さらに歯が前方に傾斜している場合と、そうでない場合があります。歯が前方に出ている場合は、目立ってしまうのと、唇が閉じにくい状態です。

上顎前突とは逆で、下顎の骨の方が上顎の骨よりも前方に出ている状態です。遺伝的な素因が強いと言われており、骨格的な改善が必要なケースもあります。うまくかみ合わず奥歯に負担がかかり、年齢とともに奥歯にダメージが出てきます。

カチッと噛んだ状態でも、前歯が当たっていない場合、開咬です。骨格的な素因や舌突出癖という癖(くせ)が原因になります。下顎前突と同様に奥歯にダメージが出やすく、治療しても悪化を繰り返すことが多く、年齢とともに歯を失うケースもあります。

歯がでこぼこに並んでいる状態のことをいいます。この状態は歯磨きのときにブラシがしっかりと届きにくく歯垢が残りやすいため、むし歯や歯周病の原因になります。

上の歯が下の歯を覆ってしまうほど深く噛んでいる状態をいいます。顎の動きが制限されてしまうため、顎関節症という顎の病気を発症するケースもあります。

上顎・下顎ともに前に突き出ている状態をいいます。唇が閉じにくく、笑った時に歯ぐきが見える面積が広くなってしまいます。

上下の噛み合わせが横にずれている状態をいいます。幼いうちに交叉咬合を放置すると、左右の顎に成長の差が出ることにより顔が歪んでしまう場合があります。
また顎の動きが制限されることにより顎関節に異常が出たり、歯のダメージも大きくなります。

いわゆる「すきっ歯」の状態です。
これは顎の骨の大きさに対して歯が小さかったり、大人の歯の本数が通常よりも少ないことなどが原因になります。特に正中離開といって上の前歯のすきっ歯はかなり目立ちます。また隙間から息漏れが生じるのでサ行・タ行・ラ行の発音が悪くなると言われています。

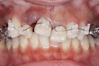
グランツで最も用いている方法です。歴史があり、治療法は確立されており、早く、キレイに治ります。
歯の表面にブラケットという装置をつけますが、最近は透明のブラケットを採用しており、目立ちにくくなっています。白いワイヤーを入れると、より一層目立ちにくくなります。
歯のガタガタを治すのは難しくありません。グランツでは上下のかみ合わせをキレイに治すということも重視しております。そういう意味では、このマルチブラケットによる治療は優秀と言えます。

プレート状の装置を用いる方法で、小児の矯正に用います。装置には歯のアーチを拡大できるようなネジをつけたり、歯を前方に押すようなワイヤーを適宜付与することができます。装置は取り外しが可能なので、食事や歯磨きがしやすいのが特徴です。

透明なマウスピースタイプの矯正装置です。
ブラケットやワイヤーを使用しないため、付けているのがほとんどわかりません。マウスピースを2週間ごとに新しいものに付け替えていくことで歯並びを改善していきます。
マウスピース矯正とは、オーダーメイドで製作する薄い透明なマウスピース型の矯正装置です。
1997年にアメリカのアライン・テクノロジー社によって開発され、テレビ広告などを通じて世界の主要各国にて販売されており、これまでに全世界で400万人を超える患者が治療を受けています(2016年9月末現在)。日本では、2006年に販売が開始されました。
透明なマウスピース型の装置なので、笑ったときに着けていることがわかりません。
従来のワイヤー型の矯正装置のように笑ったときに装置が見えたり、食事のときに食べかすが装置に詰まるといった、マイナスなイメージがないため、見た目を気にすることなく、歯並びを整えることができます。
多くの方が想像するマウスピースとは違い、厚さが0.5mmと薄く作られていますので、喋るときに違和感が感じにくくなっています。
通常のマウスピース矯正とは違い、歯が整っていく過程を専用のコンピューターでシミュレーションして、その過程にあった形のマウスピースを一度に制作するので、通院回数を2ヶ月に1回に抑えることが可能です。
従来のワイヤー型の矯正装置と違い、自由に取り外しが可能なので、食事中の煩わしさがありません。また、ご自身でお掃除も可能なので衛生環境を保つことができます。
マウスピース矯正は薄いプラスチックで作られているので、これまで金属アレルギーで矯正ができなかった方々にもおすすめです。
矯正歯科は長期間の治療になるため、信頼できる歯科医師を選ぶことが大切です。
一つの目安として、「日本矯正歯科学会 認定医」という資格があります。
一定の実績と知識を持つ歯科医師が認定されており、矯正治療の相談先として検討される方も増えています。
1)Comparing the Perception of Dentists and Lay People to Altered Dental Esthetics Vincent O. Kokich Jr, DMD, MSD et al Journal of Esthetic Dentistry Volume 11, Number 6, 1999 311-324

姫路駅前グランツ歯科
院長挨拶
院長の粟谷英信と申します。
姫路での開業以来、地域の皆様に支えられながら、これまで多くの患者様と向き合ってまいりました。開業当時は「削って詰める」→「また悪くなって歯医者に行かないといけない」の繰り返しをさせないような治療をしよう、という思いがありました。
これまでたくさんの患者様に来ていただきましたが、やはり、一時しのぎの治療ではなく、根本的な治療が必要な患者様が多くいらっしゃるな、という印象です。
グランツが大切にしているカウンセリングで色々お話を伺い、患者様に合った治療を提供させていただき、特にインプラントと矯正治療に関しては「きれいに治って嬉しい」「こんなところを探していた」とたくさんのお喜びの声をいただいております。
姫路にも多くの歯科医院がございますが、グランツの役割は、「しっかり(根本的に)治療して、きれいでよく噛める状態を維持したい」、という思いに応えることだと思います。
スタッフ数も増え、チームワークも向上し、より一層皆様のニーズに応えられるようになりました。今後とも姫路駅前グランツ歯科をよろしくお願いします。