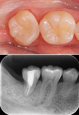
セラミックインレー
(1本6万円)
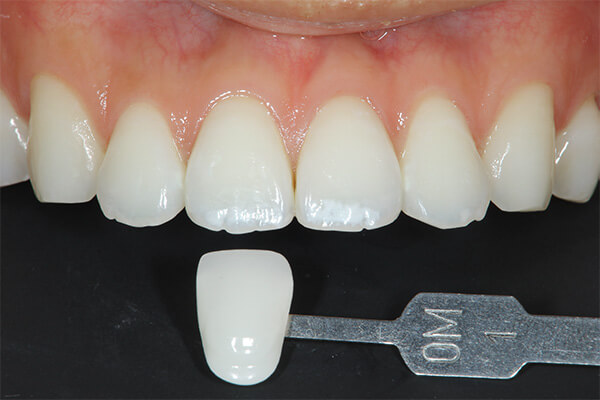
- Before

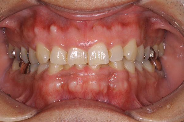
- After


技工士が歯の色に合わせて一つ一つ丁寧にセラミックインレーを製作します。

セラミックインレーの装着時には写真のようにラバーダムというゴムのシートを使うことにより接着力が増します。
接着力が増すと虫歯の再発率を減らすことにつながります。
治療のリスク
虫歯の範囲が大きいとクラウンによる治療の適応になります。
治療回数
2回
Case



技工士が歯の色に合わせて一つ一つ丁寧にセラミックインレーを製作します。

セラミックインレーの装着時には写真のようにラバーダムというゴムのシートを使うことにより接着力が増します。
接着力が増すと虫歯の再発率を減らすことにつながります。
虫歯の範囲が大きいとクラウンによる治療の適応になります。
2回



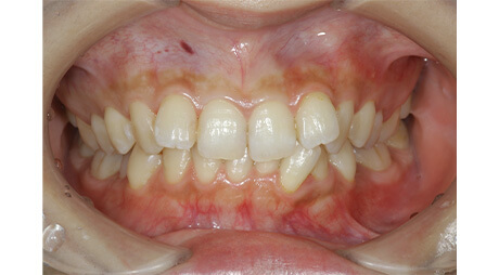
事故により上の前歯がなくなってしまいました。そのままインプラントをするのではなく、矯正治療により歯並びの改善をすることが、インプラントの予後を改善するポイントです。噛み合わせが悪いままインプラントをするとインプラントが後々トラブルを起こすことがあります。

インビザラインによる矯正治療後にインプラント治療を行い、治療終了。先天欠損であった右下の前歯は接着ブリッジによる治療を行いました。
抜歯に伴う骨欠損が大きい場合は、大規模な骨増生が必要になることがあります。
1年半
326万円(税込)



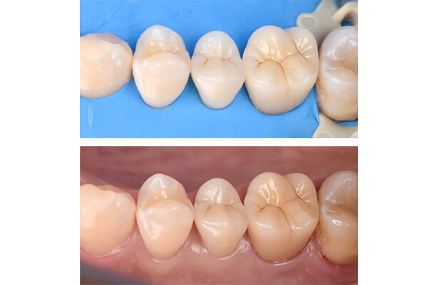
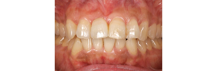
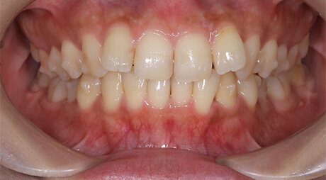
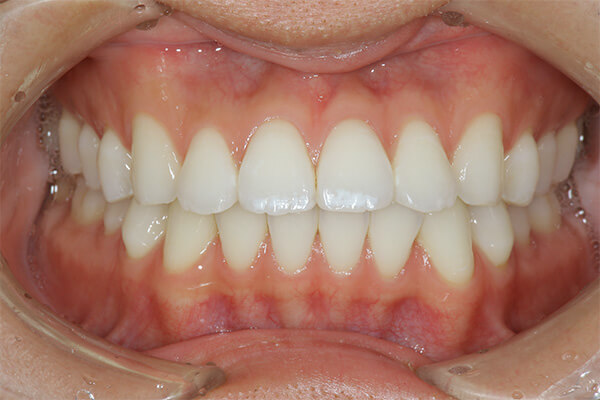
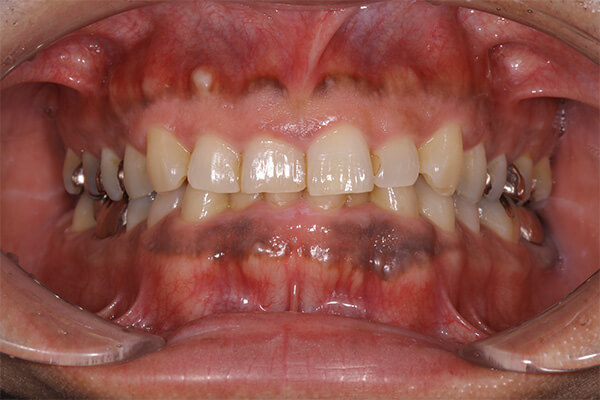
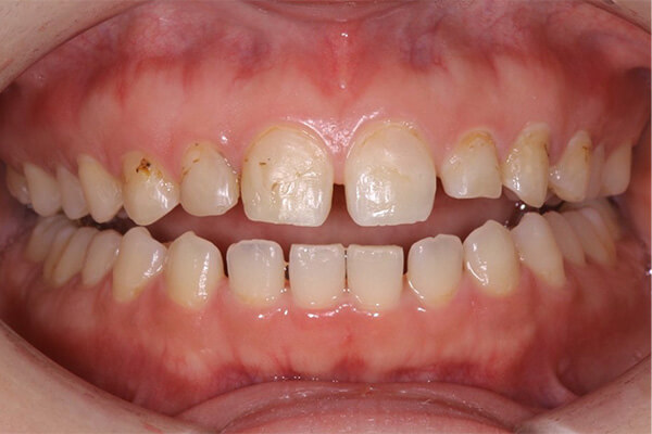
上の前歯の古い被せ物を治したいと言うことで来院されました。上下の前歯は少しガタガタになっており、奥歯には古い金属の詰め物が見られます。

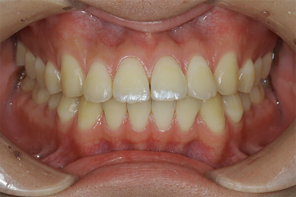
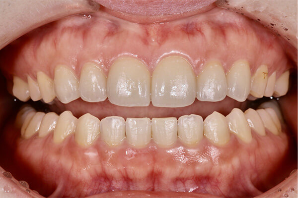
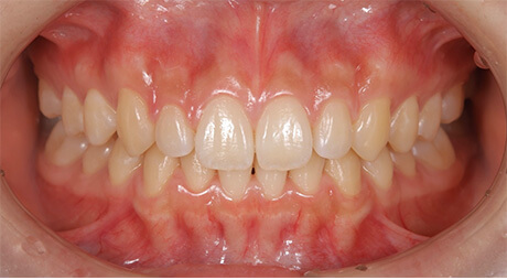
上の前歯の被せ物が長い期間保つようにするためには、下の前歯のガタガタを整えておく必要があります。この症例くらいのガタガタであれば、インビザラインGoを使えば短期間で綺麗に治すことができます。歯並びが整ったことで治療のモチベーションが上がり、ホワイトニングと奥歯の銀歯を全てセラミックに置き換える治療を行い、金属がない(ノンメタル)状態になりました。
マウスピース矯正は装着時間が大切になるため、指示通り装着いただけないと予定通りの効果が得られない場合があります。
1年半
138万円(税込)


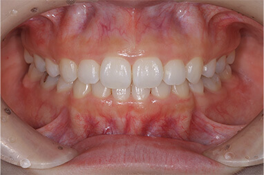
古い被せ物を除去した際、虫歯が大きいと抜歯になるリスクがございます。
約1年
約90万円
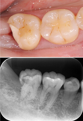
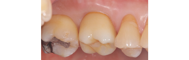
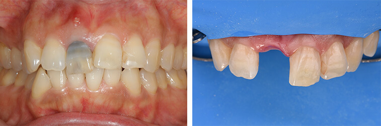
古い被せ物は色や形態が周りと合っておらず、また、被せ物の下には虫歯もありました。
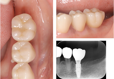
期間はかかりましたが、患者様に非常に喜んで頂きよかったです。