予防歯科
予防歯科

実は日本は、世界的に見ても歯が悪い国と言われています。それはなぜなのでしょうか?
日本人は、歯が悪くなってから歯医者に行くという習慣がついています。スウェーデンなどの予防先進国は、「悪くなる前に歯医者に行く」という習慣が国民に根付いています。
したがって、抜けてしまう歯の本数も少なく済んでいるのです。
悪くなってから受診すると、手遅れのこともありますので、グランツでは「定期検診」を重要視しております。
歯科の定期検診は、むし歯や歯周病(骨格や噛み合わせの関係も含める)などを早期発見し、早期治療することが目的です。
定期検診の内容は、主に歯周精密検査(レントゲン、歯周ポケットの測定、動揺度の検査)、ブラッシングの再確認、噛み合わせのチェック、生活習慣指導を含めた口腔衛生指導、歯石除去、などを行います。
歯周病は再発の多い病気であり、世界最大の感染症です。日本では、20~80歳の7割の方が感染しているそうです。)
治療により炎症が消え、症状が改善したところでも、一度歯周病菌に感染してしまったところは、治ったとしても溶けてしまった骨が完全に元通りになることはありません。
歯周病は、細菌の感染によって引き起こされる炎症性疾患で、毎日のハミガキで磨き残し(歯垢)があると歯と歯茎の境目(歯肉溝)に歯周病菌が入り込み、停滞します。そして時間が経つと菌がどんどん増えていきます。
菌に対する抵抗力は人により異なりますが、予防するには、きちんとしたご自宅でのハミガキ(セルフケア)と歯科医院でのプロフェッショナルによる定期的なクリーニング(プロフェッショナルケア)が必要です。
むし歯や歯周病は初期だと全く無症状で進行します。症状が出てからの治療だと、遅いのです。
全ての歯が「良い歯」と「悪い歯」にはっきりと分けられるわけではありません。中には、その中間の歯(治療介入するべきか判断が難しい歯)があります。例えばむし歯でも、最近では、小さいむし歯は削らずにあえてそのままにしておく方が良いと言われるものもあります。そのような歯は歯科医院で定期的に経過を追っていくことにより、治療介入のタイミングを適切に判断することができます。
歯茎に慢性的な微小炎症があり続けると、脳卒中や脳梗塞、糖尿病など全身疾患を引き起こす原因になることがあります。2)
歯茎の炎症は、むし歯とは異なり痛みを感じません。歯周組織検査では、歯周組織の破壊程度・炎症の活動性や治療後の回復状態などお口の中を見ただけではわからない情報が得られます。
オーダーメイドケアはグランツ特有の予防プログラムです。
治療によって得られた口腔内の健康な状態を維持する為のバイオフィルムの除去・再発防止を目的とし、「一人一人異なる口腔内」「生活習慣」「意識」に応じてしっかりとした診査、ドクターによる診断をふまえた上で、プランを組みます。
一般的に行われる保険治療では、ある特定の流れでしか施術ができない為、リスクの高い部位へのアプローチ方法や予防をメインとする内容が限られております。
全ての汚れの土台となるバイオフィルムを徹底的に除去します。このバイオフィルムは毎日歯ブラシを丁寧に行っても取りきれない為、定期的に取らなければ、どんどん汚れがたまっていくことになります。定期検診を受けていない人の歯石や着色を全て除去しようとすると、5回から10回の受診が必要でも、オーダーメイドケアを定期的に受診していただいている方は、汚れがつきにくいこともあり、1回で全てピカピカの歯にすることができますので、皆様大変満足して帰っていただけます。
歯石除去と着色除去だけがメインではありません。ご理解いただきたいのは、人によってリスクの種類が全く異なるということです。例えば、むし歯にはなりやすいが、歯周病にはなりにくい人や、逆にむし歯にはなりにくいが、歯周病がどんどん進んでしまっているという人もいます。そのような方に同じような内容をしても効果は薄いと言えます。(しかし、実際は一辺倒な施術をする医院がほとんどかと思います)
グランツでは、検査の結果を受けて、その人のリスク部位を割り出し、数ある処置内容の中で、最適な処置を選ぶことができます。
他にも、通う回数を減らしてケアしたい場合には、長時間のご予約を承りますし、着色がつきやすい患者様で気になった時にこまめに通いたい場合には、来院頻度を多くするといった対応もさせていただけます。
中でも歯周病が進行している場合には、深い歯周ポケットに対して進行を抑える効果のある専門的なケアをいたします。

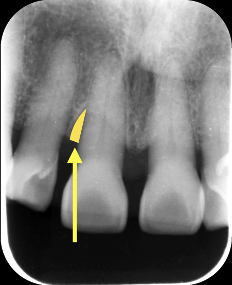
図1
黄色矢印部分は歯周ポケットが局所的に深くなっています。このようなポケットには細菌がたくさんいるために、放置すると、歯周病がどんどん進行し、歯が抜ける原因となります。
最近ではインプラントがお口の中に入っている患者様が増えてきております。インプラントは天然の歯とは生物学的に異なる点が多く、インプラント専用のケアが必要です。歯科医師や歯科衛生士にインプラントに関する知識がなければ、インプラント周囲についた汚れが原因で「インプラント周囲炎」という状態になり、最悪の場合、インプラントが抜けてしまう原因となります。グランツではインプラントに精通した歯科医師と歯科衛生士が対応させていただきますので、インプラントがすでに入っている方もこれから入れる予定の方も安心してお越しくださいませ。

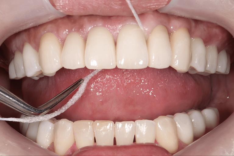
図2
この患者様の口の中には天然の歯とインプラントとセラミックの被せが入っています。3ヶ月に一度定期検診に来ていただきていますが、普段取りきれないような部分の汚れを取ることができます。
その他にもキャリアのある歯科衛生士による担当制や、個室での施術、完全予約制の為、待ち時間0分を目標としております。
『治したところを長持ちさせたい』
『今の状態をこれからも維持していきたい』
『健康寿命を延ばす』
といった様々な目標や、あなたの健康意識をサポートするのが当院の歯科衛生士の仕事です。
健康寿命とは、日常的に介護などを必要とせず、健康で自立した生活ができる期間を意味します。病気になってから病院へいくのではなく「健康を自分で守っていく」という姿勢をコンセプトにすることで若々しくいられます。お口の中が健康な人ほど、元気で自立した生活ができます。
30年間継続的なメインテナンスを続けた方は30年で0.4〜1.8本しか抜けなかったという文献もあります。3)
私は、歯科衛生士業務とは、検査を行い、歯石を取ることだけではないと思います。
今まで生きてこられた中で感じているお口へのコンプレックスや、歯医者に対してのイメージ・トラウマ等、色んな想いがあると思います。
その全てを受け止め、目の前の方に自分が出来ることを精一杯する、それが私達にできる歯科衛生士としての仕事(役割)だと考えております。
ただ歯科の業務をするだけの関わりではなく、“勇気を出して来院された方に健康になってもらいたい” “一つでも悩みを解決する”為に、寄り添い、丁寧に向き合いたいと思います。
年齢は関係ありません。
「綺麗でいたい」「今ある健康を守りたい」「心身ともに口元から健康になりたい」そんな想いをお持ちであれば、全力でサポートいたします。

姫路駅前グランツ歯科
院長挨拶
院長の粟谷英信と申します。
姫路での開業以来、地域の皆様に支えられながら、これまで多くの患者様と向き合ってまいりました。開業当時は「削って詰める」→「また悪くなって歯医者に行かないといけない」の繰り返しをさせないような治療をしよう、という思いがありました。
これまでたくさんの患者様に来ていただきましたが、やはり、一時しのぎの治療ではなく、根本的な治療が必要な患者様が多くいらっしゃるな、という印象です。
グランツが大切にしているカウンセリングで色々お話を伺い、患者様に合った治療を提供させていただき、特にインプラントと矯正治療に関しては「きれいに治って嬉しい」「こんなところを探していた」とたくさんのお喜びの声をいただいております。
姫路にも多くの歯科医院がございますが、グランツの役割は、「しっかり(根本的に)治療して、きれいでよく噛める状態を維持したい」、という思いに応えることだと思います。
スタッフ数も増え、チームワークも向上し、より一層皆様のニーズに応えられるようになりました。今後とも姫路駅前グランツ歯科をよろしくお願いします。