根管治療(根っこの治療)
根管治療(根っこの治療)

いわゆる歯の「根っこの治療」のことです。「神経の治療」とも呼ばれることもありますが、正式には「根管治療」と言います。
歯の中には、根管といって、神経や血管の通り道があります。そこが何らかの理由により感染を起こした場合に、感染を取り除くために、根管治療をします。
では、なぜ根管治療が必要になるのでしょうか?
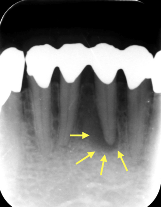
根管治療が必要な歯は大きく分けて2つあります(この2つ以外にもありますが、割合は低いため割愛させていただきます)。ちなみに過去に根管治療した歯は、レントゲンを撮ってみると、見分けることができます。(図1)

歯の根管の中に白い材料が入り込んでいるのが分かる
「むし歯が大きくて神経を取らないといけない」と言われたことはありませんでしょうか?むし歯が進行すると、歯髄に到達します。そうなると歯髄が感染を起こす場合があります。歯髄への感染が根管内に広がるとそこは細菌の巣のような状態になり、歯の根の先端の穴(元々、神経や血管の通り道)から細菌が外に出ようとするため、歯を支える骨のところで炎症が起きます。
それを防ぐために、歯髄が感染しているということがわかったら、根管治療を開始します。
ただし、私は極力、歯の神経は取らずに保存したいと考えています。感染の到達度合いによっては、神経を温存するような処置がありますので、ご相談ください。

図2もともと根管治療をしたことのない歯で、
むし歯が進んで感染やひどい炎症を起こした場合
歯の根の回りが黒くなっているのが分かる。根の中の感染が原因で歯を支える骨を溶かしている。
一度根管治療した歯なら、もう大丈夫と思っていらっしゃる患者様もいらっしゃいますが、実はそうではありません。過去に根管治療を行った際に、歯の根管の中に細菌が紛れて侵入してしまうことがあります。その状態で根管治療を終え、被せを入れるとどうなるでしょうか。しばらくは問題がないかもしれませんが、場合によっては何年か経過した後に、その細菌が増殖し、歯の外に出てきます。すると、根っこの周りに炎症が起こり、痛みや腫れを引き起こします。そのため、治療としては「再根管治療」ということになりますが、一度根管治療をした歯の治療の成功率は、一度目の根管治療の成功率よりも下がってしまうと言われています。例えば、一度根管治療した歯で、根尖に病巣があり、根尖破壊もある場合、成功率は50%という文献があります。

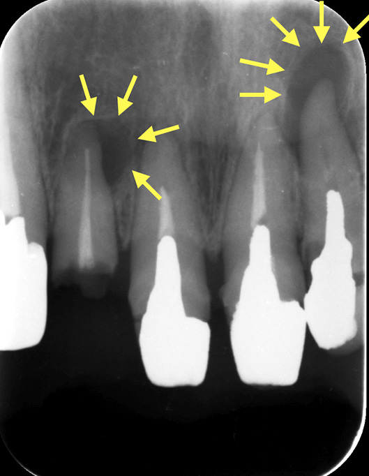
図3すでに根管治療をされた歯が再び感染を起こした場合
歯の根の回りが黒くなっているのが分かる。すでに根管治療をされていても何らかの原因で感染が起こり、歯を支える骨を溶かしている。
1
上記で説明した通り、むし歯の進行が進み、神経にまで菌の感染が達しているような重度の場合や、一度根管治療をした歯でも感染を起こしている場合は、根の治療が必要です。
2
専用の器具を使って、根管を丁寧に掃除していきます。
根管内はとても細く湾曲していることもあるため、細心の注意が必要です。
3
根管の形態が整ったら、洗浄液で根管内を殺菌洗浄していきます。その後に歯科用セメントを注入し、隙間なく無菌状態にします。セメントにも殺菌効果があります。
4
セメントが固まったら、根管の入り口を封鎖して、むし歯菌の感染リスクを減らし、最後に被せ物を装着させて治療完了となります。
図2、3のように歯の根の周りの骨が溶けているような状態を「根尖性歯周炎(こんせんせいししゅうえん)」と言います。根尖性歯周炎を放置するとどうなるかというと、
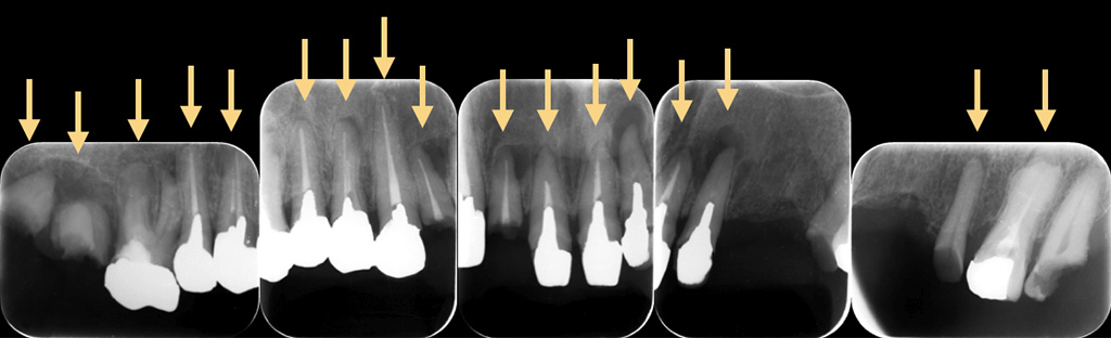
上記のようにいくつかのパターンがあります。ゆっくり大きくなると無症状に進行し、気がつくと隣の歯に病巣が到達してしまった、ということも少なくありません。このようなことを聞くと皆様「怖い」と思われる方もいらっしゃいますが、根尖性歯周炎は決して少なくありません。私の経験では、むしろ非常によく出くわします。(図4)

図4
ある患者様の上の歯のX線写真。ほとんどの歯がすでに根管治療がされているが、全ての歯が根尖性歯周炎になっている。
しかし、根尖性歯周炎は無症状に進行することがあることと、患者様自身が、どの歯を根管治療したのかを覚えていらっしゃらないので、当院を受診され、レントゲンを撮って初めて気がつくこともあります。残念ながら、すでに根管治療をした歯の成功率は下がってしまいます。なので、根管治療は可能な限り、再治療にならないように慎重に行う必要がありますが、多くの患者様がそのような治療を受けられていない現状があります。根管治療の3原則というものがあります。
治療に際してはこの原則を守る必要があります。ではこの中で、「無菌的処置」ということに触れたいと思います。
それを説明するために、ある文献を紹介したいと思います。
ラットの歯を実験的に露髄(歯髄に到達するように歯に穴を開けた)させたとき、普通に飼育されたラットでは根尖性歯周炎が起こったのに対して、無菌的に飼育されたラットでは根尖性歯周炎にならなかったという実験がありました1)。
この実験から分かるのは、根尖性歯周炎の原因は「細菌」ということです。
従って、根管治療の際には、歯に細菌を侵入させないようにしなければなりません。
しかし、根管治療の結果、根尖性歯周炎になってしまっているということは、治療の中で、歯を感染させてしまっているということです。口の中は唾液で潤っていますが、その唾液にはたくさんの細菌がいます。特別な方法を取らなければ、まず間違いなく、治療中に唾液が入り、感染が起こります。それを防ぐための方法の一つに「ラバーダム防湿」というものがあります。グランツではラバーダム防湿を行っていますが、「経験したことがない」と言われることがとても多いです。ラバーダム防湿を行うと、細菌の侵入が防げるばかりか、治療がとても楽になるため、ぜひグランツでの根管治療を受けてみてください。

姫路駅前グランツ歯科
院長挨拶
院長の粟谷英信と申します。
姫路での開業以来、地域の皆様に支えられながら、これまで多くの患者様と向き合ってまいりました。開業当時は「削って詰める」→「また悪くなって歯医者に行かないといけない」の繰り返しをさせないような治療をしよう、という思いがありました。
これまでたくさんの患者様に来ていただきましたが、やはり、一時しのぎの治療ではなく、根本的な治療が必要な患者様が多くいらっしゃるな、という印象です。
グランツが大切にしているカウンセリングで色々お話を伺い、患者様に合った治療を提供させていただき、特にインプラントと矯正治療に関しては「きれいに治って嬉しい」「こんなところを探していた」とたくさんのお喜びの声をいただいております。
姫路にも多くの歯科医院がございますが、グランツの役割は、「しっかり(根本的に)治療して、きれいでよく噛める状態を維持したい」、という思いに応えることだと思います。
スタッフ数も増え、チームワークも向上し、より一層皆様のニーズに応えられるようになりました。今後とも姫路駅前グランツ歯科をよろしくお願いします。