むし歯治療
むし歯治療

むし歯の原因は「歯質」と「むし歯菌」と「糖分」です。
私たちの口の中にはたくさんのむし歯菌が住んでいます。むし歯菌はそれ自体では悪さをすることは少ないかもしれません。しかし、口の中に「糖分」が入った瞬間から、状況は変わります。むし歯菌は糖分を栄養分にして、酸を出します。その酸で歯が溶け出し、むし歯になってしまうのです。また、酸に対する抵抗性が歯質によって違うので、むし歯になりやすかったり、なりにくかったりすると言われています。
むし歯は進行度合いによって、4つに分けられます。




むし歯で怖いのは、治療後の再発です。はじめに述べたように、むし歯の原因は細菌です。もちろん目で見ることはできません。むし歯菌は歯垢(プラーク)を作って、歯の表面にくっつきます。歯の表面でも、3大不潔部位といって、歯の溝、歯と歯の間、歯と歯ぐきの境界のところがむし歯菌がたまりやすい部位であると言えます。しかし、天然の歯はエナメル質という硬い歯質で抵抗します。
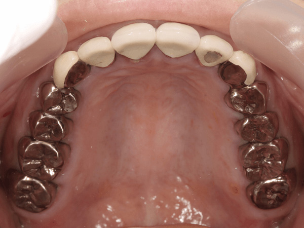
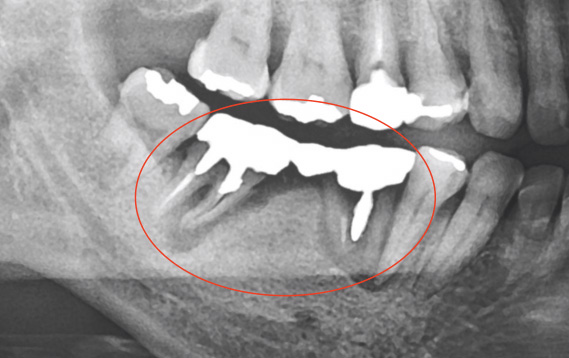
盲点であるのは、過去にむし歯治療をした歯です。一見キレイに銀歯が入っているように見えます。しかも銀歯で全周覆われているので、むし歯菌が歯に侵入しないように思えますが、実際はどうでしょうか?


金属のかぶせを外すとこのようにむし歯でボロボロになってしまっているのがわかります。なぜこのようになってしまったかというと、歯と金属のかぶせ物の間に隙間があったからです。むし歯菌は目に見えないほど小さく、むし歯菌の侵入を防ぐには、精度の高いかぶせ物を作る必要があります。
などといった工程があります。その工程のたびに、寸法が変化し、精度が落ちていきます。グランツでは、精度の高い型取りをするために、シリコン材料による型取りを推奨しています。さらに腕の良い技工士とコンビを組み、精度の高いかぶせ物・詰め物を製作してもらうように心がけています。
かぶせ物や詰め物が出来上がった後、歯に装着しますが、装着作業もとても重要です。接着剤を介して、歯とかぶせ物が接着しますが、「接着」というのは実はとても難しいのです。表面への処理が甘かったり、唾液が侵入してしまったりすると、一気に接着力が落ちます。接着力が落ちると、そこから細菌が侵入してしまうのです。目に見える唾液だけではなく、呼気(吐く息)にも水分が含まれており、接着力が低下する原因になります。グランツではなるべく接着作業が適切に行われるようにラバーダムを使用したり、最大限配慮して治療を進めるようにします。

詰め物(セラミックインレー)を装着している時の様子
唾液が侵入しないように徹底的に配慮します。

皆様の中に歯の神経を取ったことのある方はいらっしゃいますでしょうか?
皆様が「神経」というのは、正式には「歯髄」で、神経以外にも血管や細胞などが存在します。
いわゆる「神経を取る」というのは「歯髄を取る」ということですが、歯髄を取ることはデメリットがありますので、なるべく、歯髄を残す方が良いと言われております。しかし、日本人は歯髄を取ってしまっている歯が多く、そのために歯が抜けてしまう人も少なくありません。ここではむし歯が進行していても、歯髄を温存できる、「歯髄温存療法」について説明します。

まず、どこからどこまでが歯髄温存療法の適応なのか。
これについては患者様から聞かれることが多いので、説明します。
むし歯が進行すると、外からの刺激に反応して、「しみる」ようになります。
また、さらにむし歯が進行すると、歯髄が炎症反応を起こし、「ズキズキ痛む」ようになります。そしてそれをさらに放置すると「噛むと痛む」といった症状も伴うこともあります。
「冷たい水でしみる」
↓
「暖かいものでじんわり痛くなる」
↓
「何もしなくても痛い」
↓
「物を噛んだ時に痛む」
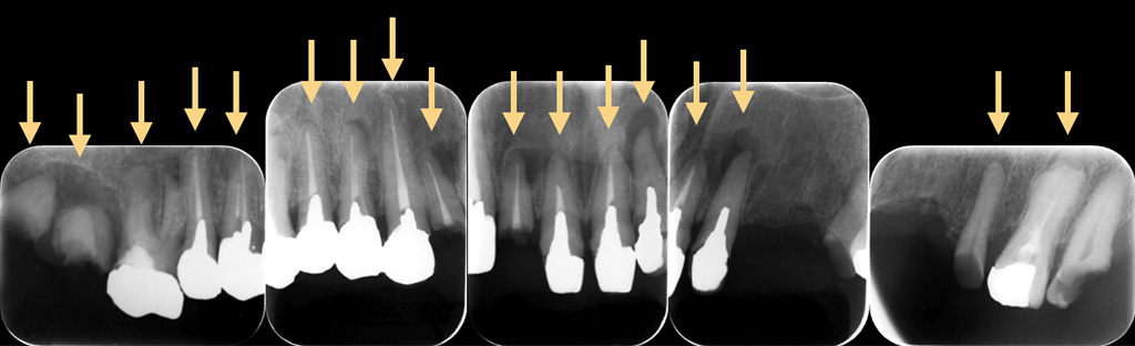
このように「痛み」といっても、様々な種類があります。それはむし歯の進行度合いによって、痛みを引き起こすメカニズムが違うからです。逆にこれを正確に理解していれば、むし歯がどこまで進行しているか、そして、歯髄の炎症はどの程度の範囲なのか、などが推測できます。
ただし、むし歯の進行の深さと、歯髄の炎症の程度は比例するとは限りません。なぜなら、歯髄には細菌の進行を防ぐ防御機能が備わっているからです。特に大人のむし歯でゆっくり進行したものは、「むし歯が大きいのに痛くない」といったことも起こりえます。
したがって、レントゲンによる判断だけではなく、種々の検査を総合的に判断してからの治療になります。
歯髄温存療法の適応は歯髄の炎症が「ない」もしくは「部分的」なものに限られます。

では、神経を取る(歯髄を取る=抜髄)ことの何がいけないのでしょうか?
まず、神経を取る行為をするために、便宜的に歯を削らなければいけません。歯を削らないと器具が到達しないためです。歯を削ると、歯は構造的に脆くなりやすく、噛む力に負けてしまい、割れてしまうこともあります。

神経を取る治療の中で、唾液などの中の細菌が歯の中に侵入してしまうリスクがあります。
ラバーダムをした上での治療では細菌感染はある程度防げますが、根っこの治療中にうがいをするなどの行為では、すぐに根管内に感染が起こります。

感染を起こしたままでもしばらくは無症状に経過するものの、時間が経ってから、根尖性歯周炎という形で現れ、再治療が必要となることがありますが、その時の治療の成功率はだいたい5割と言われております。
文字通り、神経がなくなってしまうので、歯の感覚がなくなるため、むし歯が進行しても気がつきにくくなるかもしれません。ただし、歯の感覚がなくなるといっても、歯の周りの歯根膜に分布する神経はなくならないので、噛んだ時の感覚は維持されます。
このように様々なデメリットがあります。
したがって、不必要に神経を取る行為は避けたほうが良いと考えています。
グランツではむし歯の進行の程度と歯髄の炎症の程度を考慮し、今までなら神経を取っていたような歯でも、神経の保存を試みるようにしております。
VPT(Vital Pulp Therapy)=歯髄温存療法という治療方法です。
歯髄が露出することになりますが、MTAセメントという特殊な材料を直接歯髄の上に充填します。



マイクロスコープを覗いての治療になります。
治療回数は1回です。
治療後、痛みなどがなければ、型取りをして、歯の形を復元します。
このような治療にご興味がある方は、ぜひグランツ歯科までお越しください。

姫路駅前グランツ歯科
院長挨拶
院長の粟谷英信と申します。
姫路での開業以来、地域の皆様に支えられながら、これまで多くの患者様と向き合ってまいりました。開業当時は「削って詰める」→「また悪くなって歯医者に行かないといけない」の繰り返しをさせないような治療をしよう、という思いがありました。
これまでたくさんの患者様に来ていただきましたが、やはり、一時しのぎの治療ではなく、根本的な治療が必要な患者様が多くいらっしゃるな、という印象です。
グランツが大切にしているカウンセリングで色々お話を伺い、患者様に合った治療を提供させていただき、特にインプラントと矯正治療に関しては「きれいに治って嬉しい」「こんなところを探していた」とたくさんのお喜びの声をいただいております。
姫路にも多くの歯科医院がございますが、グランツの役割は、「しっかり(根本的に)治療して、きれいでよく噛める状態を維持したい」、という思いに応えることだと思います。
スタッフ数も増え、チームワークも向上し、より一層皆様のニーズに応えられるようになりました。今後とも姫路駅前グランツ歯科をよろしくお願いします。