審美治療(セラミック)
審美治療(セラミック)

審美歯科とは、歯や口元の美しさに焦点を絞った歯科治療です。
皆様は、自信を持って歯を見せて笑うことができるでしょうか?笑顔がきれいであることの要素として、歯が占める割合はかなり高いと思います。例えば、歯並びがガタガタだったり、古いかぶせ物の色が悪くなっていたりすると、周りの人のあなたに対する印象は悪くなってしまうかもしれません。
逆に、歯や口元に自信があると、思いっきり笑うことができます。笑顔の人は、やはり印象が良くなるのではないでしょうか。
私たちは、皆様が自信を持って笑顔になれるように精一杯お手伝いをさせていただきます。
見た目を良くしたいと思う理由は人によって様々です。
これらの理由・そしてその原因を診査・診断し、適切に対処しなければなりません。
歯の見た目を良くするというのは、簡単なようで実際はそうではありません。削って直せば良いと考えている方もいらっしゃいますが、一度削った歯は戻ってきませんので、十分に納得してからの治療をオススメします。下にいくつかパターンをあげますので、参考にしてください。
この場合は「ホワイトニング」で解決されることが多いです。ホワイトニングという言葉は最近ご存知の方が増えてきましたが、ホワイトニングとは、加齢や着色により黄色くなっている歯を専用の薬剤を使って白くする、歯にやさしい審美治療です。蓄積した着色を漂白し、あなたの歯本来の白さを取り戻します。私はホワイトニングの適応であれば、ホワイトニングが最も費用を抑えて、簡単に綺麗になる方法だと考えています。
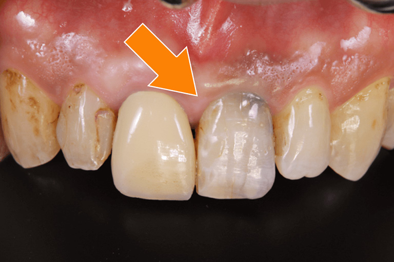
しかし、注意があります。ホワイトニングでうまく白くならない場合があります。まず、人工の詰め物や被せ物が入っている歯は白くなりません。(図1、2)
また、過去に歯の根の治療をしている歯で、内部から変色している場合は通常のホワイトニングでは白くならないので注意が必要です。(図3)

図1
矢印に示す位置に人工物が詰められており、ホワイトニングをしてもこの部分のみ漂白されず、目立ってしまいます。この場合は、ホワイトニング後に治療をし直す必要があります。

図2
矢印に示す歯は人工の被せ物が装着されています。この歯も同様に他の歯のホワイトニング後、被せ物を新しく作り直す必要があります。

図3
矢印に示す歯は、人工物は装着されていませんが、過去の歯の根の治療がきっかけで、内部から着色しています。この場合、ホワイトニングの効果がないので、インターナルブリーチという方法や、被せ物を装着して歯の内部の色を遮断する必要があります。
この場合は、ホワイトニングのみでは解決されないので、新しく被せ物を作り直す必要があります。被せ物を作り直す場合、グランツでは、セラミックを用いた被せ物を使います。セラミックは天然の歯と同じような色調や性質を再現することができます。それ以外の素材だと、天然の歯との差ができてしまうため、目立ってしまいます。
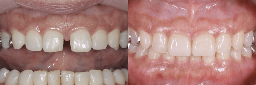
治療する場合ですが、形などが問題なく、色の問題だけだとしても、状況によっては、改善が簡単なケースもあれば難しいケースもあります。
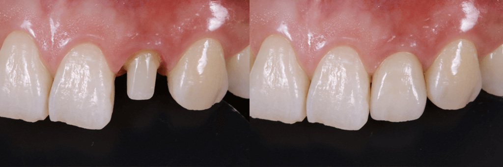
例えば周りの歯の色が良く、土台の歯の色の状況も良ければ、合わせるのは比較的容易です。(図4)
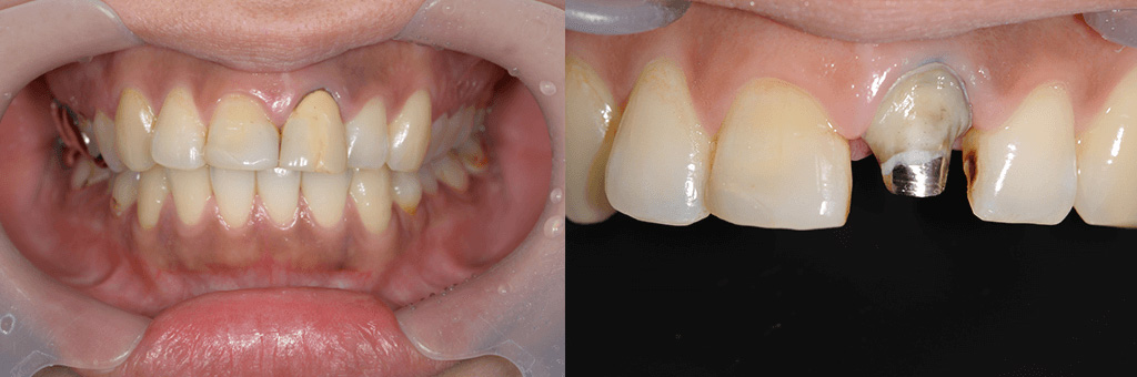
逆に、一番前にある2本の歯のうち、一本だけ被せ直すようなケースは歯科医師と歯科技工士の腕が良くないとキレイに治りません。(図5)

図4
被せ物を装着する前と装着した後。天然の歯に近い形で再現できています。

図5
左上の前歯の色が気になり、来院されました。過去に装着された被せ物を外したところ、金属の土台が装着されていました。透明感を再現するためにセラミッククラウンを装着したいケースですが、透明感を出しすぎると内部の金属の色が透けてしまうので、難しいケースと言えます。
歯の色に関しては、前に述べた通りですが、形が悪いのを治したいという方もいらっしゃいます。形が悪いというのも、いくつかパターンがあります。
まず歯と歯の間に隙間がある場合。この場合、矯正治療をするケースもありますが、ラミネートベニアというセラミックを使う方法やコンポジットレジンという材料を用いて、歯を削らずに治す方法もあります。術前術後で形が変わるため、グランツでは術前にシミュレーションをして、患者様に見ていただいた上で、治療を進めるようにしています。
次に古い被せ物が入っていて、歯の形が悪い場合。形を整えて、被せ直せば良いように思いますが、実は注意が必要です。形が悪い場合、そのような形になった理由があります。それを考慮せずに形を変えて被せ直すと、せっかく入れた新しい被せ物が取れてしまったり、欠けてしまったりすることがあります。
「クラウン」というのは、歯全体に被せる物のことです。むし歯など何らかの原因で歯の形を失った場合に、クラウンを装着します。
クラウンの素材は色々ありますが、「セラミック」はその素材の一つです。セラミックは天然の歯と同じような色調や性質を再現することができるため、グランツでもよく用います。セラミックの被せ物といっても、実は様々なものがあります。

クラウンを全て透明感のあるセラミックで仕上げたものです。セラミックの透過性を生かせるので、天然の歯に近い形に仕上がります。ただし、土台の歯の色が悪い場合、悪い色が透けてくるので、注意が必要です。

金属のフレームにセラミックを盛り足したものです。フレームが金属なので、透明感を出すのは非常に難しいのですが、フレームの上のセラミックを適切に盛ることで、透明感を演出します。土台の歯の色に関係しないので、今でも状況によっては用いられます。
「ジルコニア」とは、セラミックの一種で非常に硬い材料です。ただし、不透明感が強く、それだけで口の中に装着すると、明らかに人工的な感じがします。しかし、金属と違い、白く、内部の色を遮断できるため、フレームとしてジルコニアを用い、目に見えるところを通常のセラミックで覆うという方法をとっています。メタルボンドよりも新しい方法で、グランツでも多く用いています。


これは、ジルコニア単体のクラウンです。前に述べたようにジルコニアは白いですが、不透明感が強く、単体で使うと違和感が出ます。しかし、限りなく割れにくいという特性を生かして、奥歯の修復に用いることが増えてきました。最近では、透明感のあるジルコニアも出てきており、活躍範囲が広くなる可能性があります。
4つのクラウンですが、「どれが良い」というものではありません。土台の色調やかみ合わせなどに合わせて適切に選択するものです。例えば、「ジルコニアが一番良い」という簡単なものではありません。グランツでは、患者様に適した材料を適切に選択しますので、ご安心ください。
セラミック単体でできたクラウンです。
中身を金属で作り、外側にセラミックを張り付けたクラウンです。
ジルコニアのフレームの外側にセラミックを張り付けたクラウンです。
ジルコニア単体で作られたクラウンです。

ラミネートベニアはクラウンと異なり、歯の表面にネイルの様にセラミックを貼り付ける方法です。適応は限られてきますが、歯を削る量を抑えることができます

姫路駅前グランツ歯科
院長挨拶
院長の粟谷英信と申します。
姫路での開業以来、地域の皆様に支えられながら、これまで多くの患者様と向き合ってまいりました。開業当時は「削って詰める」→「また悪くなって歯医者に行かないといけない」の繰り返しをさせないような治療をしよう、という思いがありました。
これまでたくさんの患者様に来ていただきましたが、やはり、一時しのぎの治療ではなく、根本的な治療が必要な患者様が多くいらっしゃるな、という印象です。
グランツが大切にしているカウンセリングで色々お話を伺い、患者様に合った治療を提供させていただき、特にインプラントと矯正治療に関しては「きれいに治って嬉しい」「こんなところを探していた」とたくさんのお喜びの声をいただいております。
姫路にも多くの歯科医院がございますが、グランツの役割は、「しっかり(根本的に)治療して、きれいでよく噛める状態を維持したい」、という思いに応えることだと思います。
スタッフ数も増え、チームワークも向上し、より一層皆様のニーズに応えられるようになりました。今後とも姫路駅前グランツ歯科をよろしくお願いします。