〒670-0961 兵庫県姫路市南畝町2丁目50 オーパスビル3F

TEL,079-221-8241

INSTAGRAM
PageTop

歯並び矯正(経過)

歯並び矯正(経過)|姫路駅前グランツ歯科|姫路市の歯科・口腔外科・矯正歯科

こんにちは
姫路駅前グランツ歯科のチーフマネージャーです。
春から環境が変わられた方、新入社員として頑張っておられる方、様々だと思いますが、いかがお過ごしでしょうか🌸新しい環境には馴染めておられますか☺️
気負いすぎず、頑張りすぎず、でも今を大切に過ごしていきたいですね。


当院では 4月より、5名の新しいスタッフが加わり、ますます賑やかになってきました♩

以前、ご紹介いたしました新人スタッフ【ほのちゃん】も、一年経ってすっかり先輩らしくなり、頼もしい存在です。

本日は、そんなほのちゃんの[歯並び矯正 途中経過]をお伝えします。

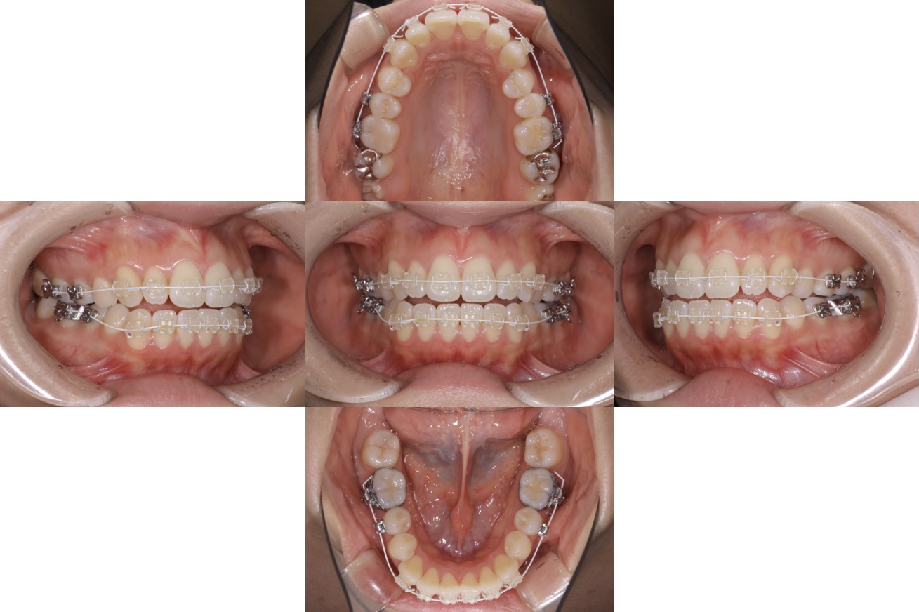
もともと開咬(前歯で噛んでいない状態)だった彼女。矯正を初めて一年弱の現在は…

before



after




現在は上顎4番を左右とも抜歯をし、前歯の6本を後ろへ動かしている状態です。

変化をあまり感じられないかもしれませんが、犬歯が後ろの方に少し動いています。

急激に歯を動かすと、歯の根っこが短くなったり(根吸収)、歯茎が下がる(リセッション)こともあるので、全ての患者様の負担を出来るだけ減らす形で治療をすすめております。

ではレントゲンでの比較もご覧ください。
before


after


ゴールにはまだ時間がかかりますが、(機能的にも審美的にも)キレイな歯並びを目指して治療を続けていきます☺️
矯正治療をされている方、一緒にがんばりましょうね!

グランツ歯科では、このようなワイヤー矯正はもちろん、マウスピース矯正も行っております。患者様のご要望がや症例に合わせて治療内容を選択しご提案させていただきます。

今のマスク生活の間に、一生使う大事な歯を整えておきませんか。
お電話お待ちしております♪