〒670-0961 兵庫県姫路市南畝町2丁目50 オーパスビル3F

TEL,079-221-8241

INSTAGRAM
PageTop

私ってインビザラインGOで矯正できる?

私ってインビザラインGOで矯正できる?|姫路駅前グランツ歯科|姫路市の歯科・口腔外科・矯正歯科

 こんにちは。姫路駅前グラン歯科の歯科医師の向井です。猛暑の毎日ですが、いかがお過ごしでしょうか?皆様、熱中症にはお気をつけください。

 夏の風物詩でもある甲子園が8月6日からスタートしましたね。今年は新型コロナウィルス対策ガイドラインが廃止され、応援に関する規制も無くなったようで声出し応援に変わりました。

やはり、吹奏楽の応援、声出しを聞くとプレーしている選手はもちろん、見ている私達も興奮を抑えきれず見入ってしまいます。

 街中でもマスクを外して歩いている人たちを見るとようやく元の日常に戻ったように感じます。しかし、まだまだコロナウィルスによる感染も認められるようなので皆様お気をつけて感染対策をしていきましょう。

 さて、今回はインビザラインGOについてお話させて頂きます。まずはこちらを御覧ください。 

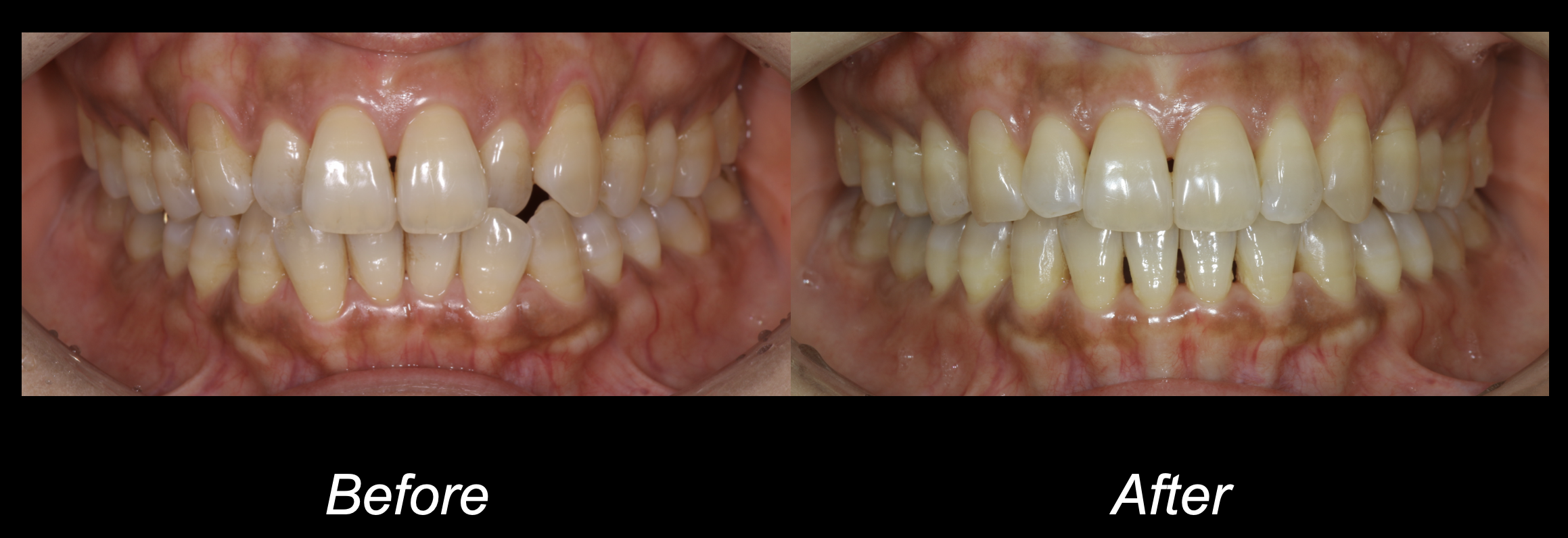
こちらは、前歯のガタツキを主訴に当院に来られた方です。このケースは歯のガタツキがそこまで大きくないと判断し、インビザラインGOを用いた矯正治療を選択しました。矯正期間はおおよそ8ヶ月程度でした。術前と比較すると明らかに前歯のガタツキは改善され、またスマイルも美しくなりました。

このように、インビザラインGOの適応症例であれば短期間で美しい歯ならびを得られることが可能です。ではインビザラインGOの適応症例とはどういったものでしょうか?

① 軽度の叢生(ガタツキ)

② 軽度のすきっ歯

③ 軽度の上顎前突

などが挙げられます。すべての症例に軽度と書かさせて頂いておりますがなぜでしょう?

それは、インビザラインGOのシステムによるものです。

インビザラインGOは奥歯を除く計20本の歯を対象として移動を行います。そのため全ての歯を対象とした矯正と比較すると制限がかかってしまいます。

しかし、一方で治療期間を短縮させたり、治療費用を軽減させることができます。

どのような症例でもインビザラインGOを適応することは臨床上難しいです。例えば、重度のガタツキに対してインビザラインGOを選択してしまうとガタツキが残ったまま終了してしまいます。

 私は、インビザラインGOの適応かな?と悩まれている方は多いと思います。ご安心ください。

当院では 当院ではインビザラインフル、インビザラインiGOを含めて200症例の実績があります。費用や期間で迷われる患者様も多いかと思います。当院では矯正の無料相談も実施しておりますし、似たようなケースのクリンチェックを見ていただきゴールのイメージをしていただくことも可能で す。ご興味がございましたら是非当院までお電話かネットでご予約していただければと思います。

 姫路で矯正するなら姫路駅前グランツ歯科におまかせください。