
こんにちは✨ 姫路駅前グランツ歯科の衛生士です。
よく、虫歯は1日で治るんですか?とおっしゃる方がいらっしゃいます。虫歯の進行度合いにもよりますが、小さな虫歯だと1日で治すことが可能です😎 CR(コンポジットレジン)修復という治療は、虫歯を削った後CR(コンポジットレジン)という白い詰め物を詰めます。
私も真ん中の前歯(中切歯)2本の間をコンポジットレジン修復をしました。

この写真は治療前の写真です。中切歯2本の間に虫歯がありました。
虫歯を削った後の写真がこちらです。

意外と深い虫歯でした💦 歯に付けている青いシートはラバーダムシートというものです。当院ではCR修復の際にラバーダム防湿を行っています。ラバーダム防湿とは、ゴム製のシートをはることによって唾液が付着することを防ぎ、無菌的に治療を行うことが出来ます。CR修復は唾液が入るとCRが外れやすくなったり、詰め物の下で虫歯になりやすくなってしまいます。 ラバーダム防湿を行うとそういった心配がなくなるので安心です😉
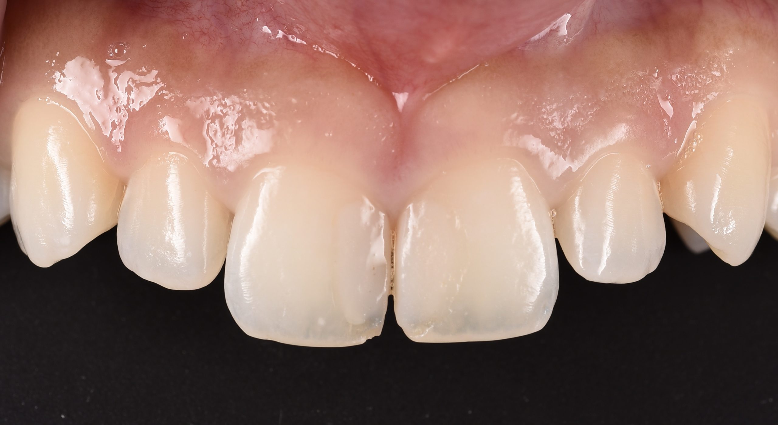
そして、CRを詰めて研磨した写真がこちらです。

どこにCRを詰めているのか分からない程綺麗に治りました✨ 治療前は笑うことに少し抵抗がありましたが、今は自信を持って笑うことが出来ています😁
虫歯がある方、見た目が気になる方、詰め物をしてから時間が経っている方など、お悩みの方は是非姫路駅前グランツ歯科にご連絡下さい😊





