
こんにちは
姫路駅前グランツ歯科の歯科衛生士です🦷
今回は、タバコが歯に与える影響についてお話しします。
「タバコを吸うと歯が黄ばむ」「喫煙者は口臭が強い」といったお話を聞いたことはありませんか?実はそれだけではなく、喫煙は 歯周病や虫歯のリスクを大幅に高め、最悪の場合、歯を失う原因 になることもあります。さらに、歯科治療の効果が出にくく、インプラントや抜歯後の回復が遅れるといった問題もあります。
最近では、従来の紙巻きタバコに代わり、「アイコス(IQOS)」などの加熱式タバコ を利用する人が増えています。「煙が出ないから害が少ない」「ヤニ汚れがつきにくい」といった理由で、歯や健康への影響を気にしてアイコスに切り替えた方も多いのではないでしょうか?
しかし、「加熱式タバコなら歯に悪影響が少ない」わけではありません。アイコスにも ニコチンが含まれており、歯周病や口臭、着色汚れのリスクは依然として高い ことが分かっています。
「歯は大切にしたいけど、どれほど影響があるのかよく分からない」という方のために、今回は 歯科衛生士の視点から、喫煙が歯に与える影響を詳しく解説 します。喫煙を続けることでどんなリスクがあるのか、そして禁煙するとどんなメリットがあるのか、一緒に見ていきましょう!
1. 喫煙による歯の黄ばみと着色汚れ
喫煙者の多くが気にするのが、 歯の黄ばみや茶色い着色汚れ(ステイン) です。これは、タバコに含まれる ニコチンやタール が歯の表面に付着し、時間とともに沈着するために起こります。
タールの付着:タバコの煙に含まれるタールは、歯の表面に強く付着し、歯を茶色く変色させます。
ニコチンの作用:無色透明のニコチンは、唾液に触れると黄色く変色し、歯の黄ばみを引き起こします。
エナメル質のざらつき:喫煙によって歯の表面がざらつくため、着色汚れがさらに付きやすくなります。
歯の黄ばみを防ぐには?
ホワイトニングや歯科医院でのクリーニングで一時的に白くすることは可能ですが、 喫煙を続ける限り再び黄ばんでしまいます。そのため、歯を白く保つためには 禁煙が最も効果的 です。
着色汚れに対してのおすすめのクリーニング
①PMTC(エアフロー)
タバコのヤニやコーヒーなどが原因で歯の表面に付着する茶色や黒っぽい汚れに対しては、エアフローという機会を用いてのクリーニングがおすすめです。
エアフローは、歯を傷つけることなく、着色やバイオフィルム(歯の表面の細菌膜)をスピーディーに除去できる最新の歯面清掃システム です。特に、従来のクリーニングでは落としにくかった歯と歯の間などの細かい部分の着色汚れ まで、驚くほどキレイにすることができます。従来の方法に比べ、短い時間で行うことができ、振動や痛みがほとんどなく患者様の負担も少ないです。
詳しくはこちらをご覧ください。
パウダーメインテナンスをお勧めします!
②ホワイトニング
歯の黄ばみに対してはホワイトニングがおすすめです。
当院のホワイトニングは、歯医者で光を当てて行うオフィスホワイトニング、お家で作成したマウスピースを用いて行うホームホワイトニング、オフィスホワイトニング1回+ホームホワイトニングのマウスピース作成とジェル1本お渡しのセットになったパーフェクトホワイトニングの3種類がございます。
ホワイトニングについて詳しくはこちらをご覧ください
ホワイトニング
ただいまパーフェクトホワイトニング10,000円OFFのキャンペーンを実施しています。
2025年2月28日で終了いたします。すごくお得なキャンペーンですので、興味のある方は是非お早めにご連絡ください!
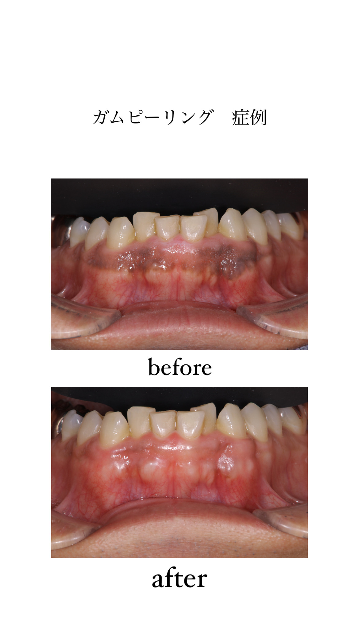
③歯茎の着色に対しては
ガムピーリングがおすすめです。
歯茎はメラニン色素の沈着や生活習慣によって黒ずんでしまうことがあります。
そんな笑った時に気になる、黒ずんだ歯茎をピンク色に戻す方法です。
変色した歯茎に薬液を塗り、ピーリング(剥がす)ことで、新しい健康なキレイな歯茎を再生します。
笑顔の印象を良くしたい方や、結婚式などのイベント前に歯ぐきをきれいにしたい方にも人気があります。
2. 口臭(喫煙者特有の臭い)
喫煙者の口臭の原因は 「タバコ臭」 と 「口腔環境の悪化」 によるものの2種類があります。
(1) タバコ臭
タバコの煙には数百種類の化学物質が含まれています。これらの成分が 口腔粘膜や舌に付着 し、独特のタバコ臭を発生させます。喫煙直後だけでなく、しばらく経っても口臭が続くことがあります。
(2) 口腔環境の悪化による臭い
喫煙は 唾液の分泌を抑制 し、口腔内を乾燥させます。これにより、口腔内の細菌が増殖しやすくなり、 悪臭を発生させる揮発性硫黄化合物(VSC) が増加します。
特に、歯周病が進行している場合、 腐敗した組織から強い口臭が発生 するため、より深刻な問題となります。
3. 喫煙と歯周病の関係
喫煙は 歯周病の最大のリスク要因 です。喫煙者は 非喫煙者に比べて歯周病の発症率が2〜3倍高い ことが分かっています。
(1) 血流の悪化
タバコに含まれる ニコチン は血管を収縮させ、歯ぐきの血流を悪化させます。その結果、 酸素や栄養が十分に供給されず、歯ぐきが弱くなります。
(2) 免疫力の低下
喫煙によって免疫細胞の働きが低下するため、歯周病菌に対する抵抗力が弱まり、 感染が進行しやすくなります。
(3) 治療効果の低下
通常、歯周病治療を行うと炎症が改善されますが、喫煙者の場合は 回復が遅く、治療効果が出にくい ことが多いです。
そのため、歯周病が進行しやすく、 最終的には歯が抜け落ちる可能性が高くなります。
4. 虫歯になりやすくなる
喫煙は 虫歯のリスクも高める ことが分かっています。その理由は以下の通りです。
(1) 唾液の減少
唾液は 口腔内の自浄作用 を担い、歯を再石灰化する働きがあります。しかし、喫煙により唾液の分泌が減少すると、 歯が虫歯になりやすくなります。
(2) プラークの増加
喫煙者の歯は プラーク(歯垢)が付きやすく、落としにくい という特徴があります。プラークには虫歯菌が多く含まれるため、 虫歯のリスクが高まります。
5. インプラントや抜歯後の回復が遅くなる
喫煙者は インプラント治療や抜歯後の回復が遅い ことが分かっています。
(1) 骨の回復が遅れる
インプラント治療では、人工歯根を顎の骨と結合させる必要があります。しかし、喫煙によって 骨の血流が悪化 すると、インプラントがうまく定着しないことがあります。
(2) 傷の治癒が遅くなる
抜歯後や手術後の回復には血流が重要です。しかし、喫煙により 傷の治りが遅くなり、感染リスクが高まります。
6. 喫煙をやめることで得られる口腔のメリット
禁煙をすると、以下のような 口腔の健康改善 が期待できます。
✅ 歯ぐきの血流が改善され、歯周病の進行が抑えられる
✅ 口臭が軽減され、爽やかな息を維持しやすくなる
✅ 唾液の分泌が正常化し、虫歯のリスクが下がる
✅ 歯の黄ばみや着色が改善され、美しい歯を取り戻せる
✅ 抜歯やインプラント治療の成功率が上がる
禁煙後、歯ぐきの健康が改善 し、口臭も減少します。さらに、歯科医院でのクリーニングやホワイトニングの効果が長持ちしやすくなります。
このように
喫煙は 歯や口腔環境に多くの悪影響を及ぼす ため、禁煙することが最善の選択です。
健康な歯と美しい笑顔を守るために、 禁煙と定期的な歯科検診を習慣化しましょう!
お口の中のお悩みや、ご興味のある治療がございましたら是非ご相談ください^^
【お問い合わせ先】
姫路駅前グランツ歯科 ☎︎079-221-824






