〒670-0961 兵庫県姫路市南畝町2丁目50 オーパスビル3F

TEL,079-221-8241

INSTAGRAM
PageTop

ダウンタイムの少ないインプラント

ダウンタイムの少ないインプラント|姫路駅前グランツ歯科|姫路市の歯科・口腔外科・矯正歯科

こんばんは。

姫路駅前グランツ歯科チーフマネージャーです。

今日は、「世界遺産姫路城マラソン2024」でしたね🏃‍♀️🏃🏽

沿道での熱い応援やランナーサービスなど、姫路のグルメを楽しめるマラソン祭として、コロナ禍以前のスタイルで実施された様です。

私の担当させていただいている患者様の中でも、今回姫路マラソンに参加すると言う方が、何名かいらっしゃいました。

年齢や性別を問わず、

何事でも挑戦する姿はカッコいいですね✨

私も今年は沢山挑戦のある年にしたいと思います!!

さて、今日は

インプラントに挑戦したい🔥

と考えておられる方に向けての投稿です。

また、ずっと後回しにしてきた抜歯を考えておられる方もお読みください。

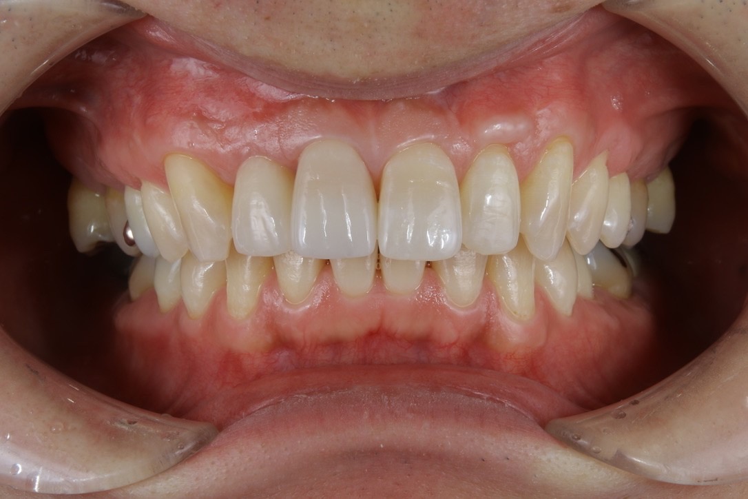
こちらの写真、どこがインプラントを入れている歯かわかりますか??

実は、こちら右上2番目の歯がインプラントです。上の写真は、天然の歯とインプラントが馴染んでいるafterの写真です。

↑こちらの写真は、抜歯をして骨がえぐれるように減ってしまっている状態です。

 

永久歯を抜くと二度と歯は生えてはきません。

そして歯を抜くと、同じ様にまわりの骨も必ず痩せてしまい、窪んでしまいます。

また歯肉は骨の上に乗っているだけなので、そのまま被せ物を作ると隣の歯よりも歯肉の位置が下がってしまいます。

でも姫路駅前グランツ歯科なら大丈夫!

経験豊富なドクター達が、骨を造る処置や、インプラント手術、周りの歯と馴染みの良くなる様に歯肉を再現させる手術をします。

もしも歯が残せない状態になり、

他の歯医者さんで抜歯をして「歯がない」「骨がない」「見た目が悪い」そんな状態でも歯や骨が元からあった様に((歯が生えたかのように))再現する治療があります。

「痛いのはできるだけ1回で済ませたい」

そんな方向けのインプラント治療もあります。

抜歯と同時にインプラント手術をする治療です。ダウンタイムの少ないインプラント手術です。

こちらは「歯抜けの状態で過ごすのは嫌」そんな方にもおすすめです。

抜歯をした場合、基本的に2〜6ヶ月骨の治癒を待つ期間が必要です。その間はインプラント手術ができません。

是非、抜歯をする前に一度ご相談ください。

当院はカウンセリングを重視しております。矯正だけではなく、インプラント無料相談も承っております。

保険診療での初診でも説明を行いますが、

2回目の来院で無料カウンセリングを行い、患者様のご満足いただくゴール設定をお話しする時間を設けております。

あなたの悩みは、”抜歯”だけで解決しますか?歯を抜いた後、どんな見た目になるかイメージできるまで説明を受けられましたか?

その時の選択が、あなたの人生で後悔のない選択になりますように😌

最後までお読みくださり、ありがとうございました。