
みなさんこんにちは。姫路駅前グランツ歯科の歯科医師です。
厳しい寒さが続く中、皆様いかがお過ごしでしょうか。
最近の気になるニュースですが、厚生労働省がマスク着用について、「令和5年3月13日以降、個人の主体的な選択を尊重し、着用は個人の判断に委ねることになります。」と声明を出していましたね。マスク生活も終わりが見えてきたように思います。早く以前のようにマスクなしの生活に戻りたいものです。
さて本日はすきっ歯をラミネートベニアで治療した症例についてお話し致します。
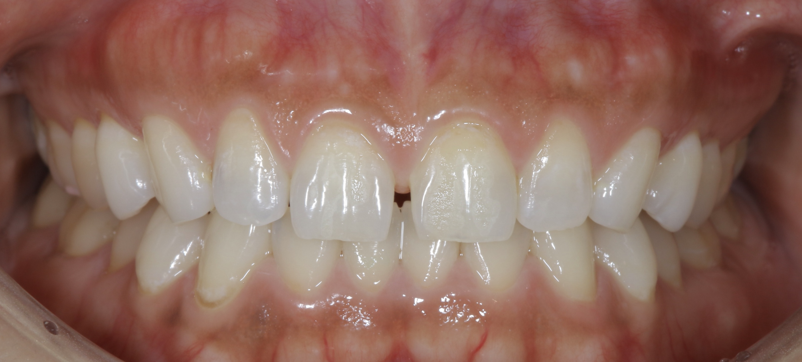
すきっ歯とは空隙歯列のことで、歯と歯の間にスペースがある歯ならびのことを言います。

この写真のような方の治療法は、矯正治療、ラミネートベニア、コンポジットレジンの3通りがありますが、今回はラミネートベニアにて治療を行いました。

皆様、ラミネートベニアをご存知でしょうか。ラミネートベニアとは、歯の表面を一層削り、薄いセラミックをつけ爪の様に歯と接着させ、歯の大きさ、形を変えるものです。
また、条件が良ければ、歯を削らずにそのまま接着させることもできます。

こちらができてきたラミネートベニアです。見ていただいたらわかるように、かなり薄いものになります。
こちらのラミネートベニアをラバーダム防湿下で接着させていきます。
(ラバーダム防湿については以前のブログをお読みください。)

こちらが装着後の写真になります。
前歯の隙間が埋まるだけで大きく印象が変わりますね!今回は歯を全く削合せずにラミネートベニアを接着させることができました。
ラミネートベニアでは歯の色、形を変えることが可能です。そして、何よりのメリットは通常のセラミックのクラウンと比較すると、歯を削る量が少ないこと、また条件が良ければ、今回のように歯を全く削らず接着させることができるという点です。
また、治療期間が短いこともメリットです。矯正治療は時間と費用がかかってしまいますが、ラミネートベニアは、症例によりますが、2~3回で治療が可能です。結婚式の前など、できるだけ早く治療を終えたい方におすすめです。
しかし、ラミネートベニアは適応症例が限られる、というデメリットもあります。少しだけ歯を削り、薄いセラミックを貼り付ける治療なので、噛み合わせの改善は行うことができません。つまり、噛み合わせに問題がない方がラミネートベニアの適応となります。
症例によってはわずかに歯並びを変えることもできることがあります。前歯の形や、色、隙間など気になられる方はご連絡下さい。
グランツでは、患者様の理想を叶えることを目的に、機能的にも審美的にも回復する質の高い治療をしております。お一人お一人によってベストは異なりますので、まずはお電話にて、ご相談ください。
最後までお読みいただきありがとうございました。





