
こんにちは。
姫路駅前グランツ歯科の歯科衛生士です🦷
朝晩は新涼の秋が気持ち良い季節になってきましたが、皆さまいかがお過ごしでしょうか。
日中は、まだまだ夏を思わせるような暑い日が続いておりますので、体調にはお気をつけてお過ごしください。
まだまだコロナ禍で大変な時期が続いておりますが、、、
ついついマスクの下でお口がぽかんと開いている・・。といったことはありませんか??
それは、”口呼吸”になっている証拠です。
口呼吸とは、本来口を閉じて鼻で呼吸をしますが、口を開けて呼吸をすることです。
〜口呼吸が原因で起こること〜
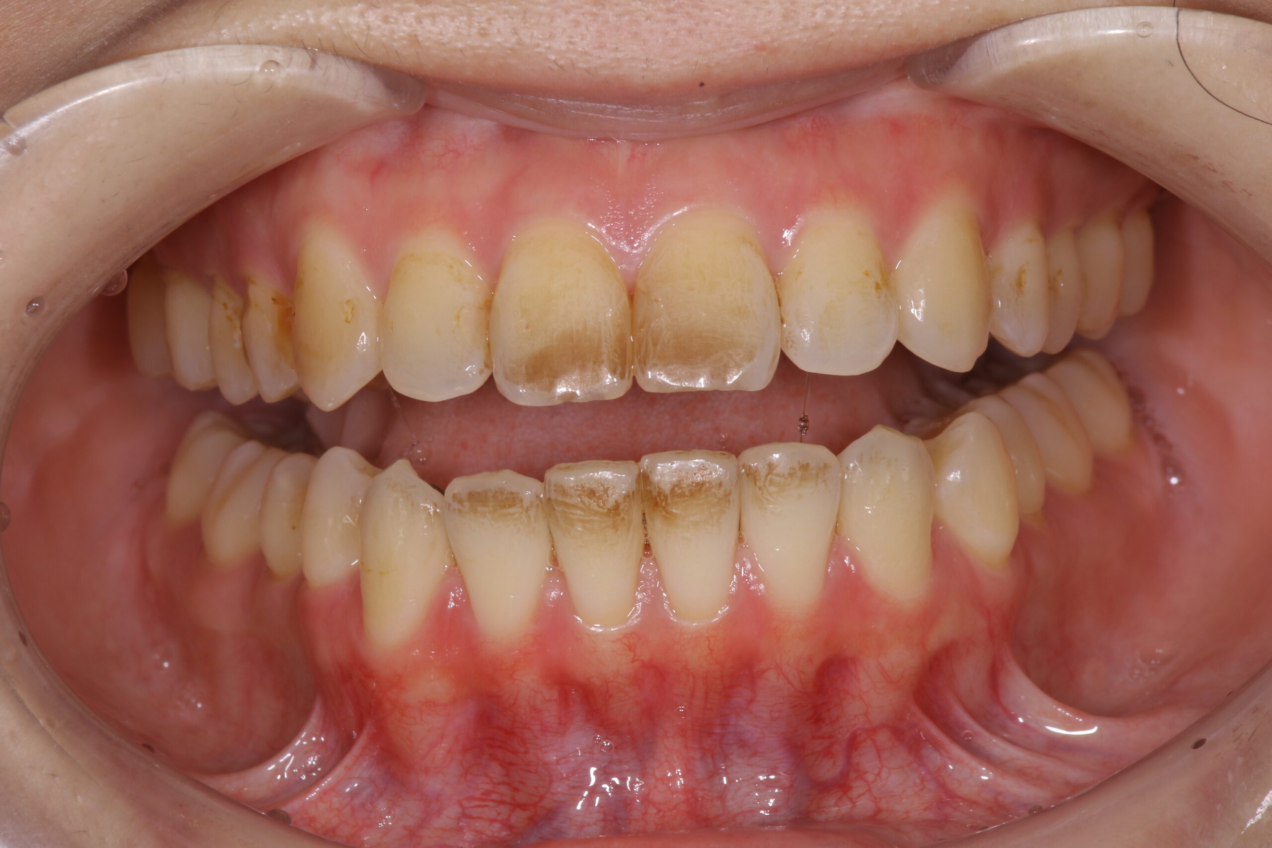
【口の乾燥により汚れや着色が残りやすい】
口が開いて歯が乾燥したところに着色の強い飲食が付くことによって歯(特に上下前歯)に着色が付きやすくなります。

【むし歯や歯周病になりやすい】
口が乾燥してしまうと、唾の量が減り、むし歯や歯周病の原因菌が活動しやすい口腔内環境になってしまいます。
分泌された唾液がすぐに乾いてしまうことで、再石灰化による修復ができなくなり、むし歯ができやすくなります。
※再石灰化とは、酸によって溶けた歯を唾液が修復すること。
また、舌が乾燥することで、味覚が鈍ったり、口臭の原因になったりもします。
【歯並びに影響する】
お口の周りの筋肉(口輪筋)が外側から歯を締め付ける圧力がなくなります。このため、頬に押された歯が前に出て、出っ歯になってしまう危険があります。
また、顎の成長に支障をきたすために顎の大きさと歯の大きさのバランスが崩れ歯並びが悪くなります。
【風邪やアレルギーになりやすい】
口で呼吸をすると、ウイルスや細菌などを含んだ、冷たく乾燥した空気を直接体内へ取り込むことになり、のどの乾燥や、ウイルスや細菌によってかかる病気のリスクが高まります。
などなど、口呼吸はさまざまな原因に繋がります。
〜口呼吸の治し方〜
口周りの筋力を鍛えることが口呼吸を鼻呼吸に改善するのにとても重要です。
特に、”舌の位置”がポイントです。
皆さんは、口を閉じた状態で下の位置はどこにありますか?
上あごにくっついているのが正しい位置です。

口呼吸をしている方は、下の前歯に付いている可能性が高いと言われています。
マスクをつけているの息苦しく感じてしまいますが、鼻呼吸を意識してみてください😌
あれらのような症状に当てはまる方や、口呼吸しているかも・・・・?など、ぜひ一度ご相談にお越しください。
本日も最後までお読みくださりありがとうございます☘️





