年末年始のご予約について 2021年12月27日 スタッフblog こんにちは☺️ 姫路駅前グランツ歯科の歯科助手です🦷 12月も残りわずかとなりもう2021年も終わりを迎えますね。 当院の年末年始のご予約についてですが、今年は12月29日まで… 続きを読む
グランツに仲間入り✨ 2021年12月2日 スタッフblog こんにちは‼︎ 姫路駅前グランツ歯科の歯科助手です🦷 今回は新しくグランツに仲間入りしたものを2つご紹介したいと思います✨ 1つ目は✨ 受付に “大きいモニター”… 続きを読む
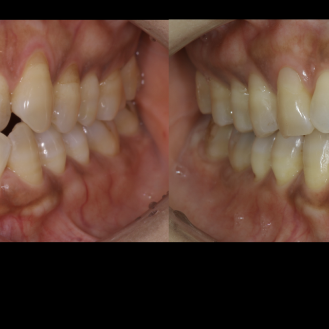
無料相談について 2021年11月29日 スタッフblog こんにちは✨ グランツ受付スタッフです☺️ 11月も後半になり、朝晩はとても冷えますね ❄️ 体調管理には十分にお気をつけください… 続きを読む
歯がしみる〜原因と対策〜 2021年11月23日 スタッフblog こんにちは! 姫路駅前グランツ歯科の衛生士です。 今回は知覚過敏についてお話ししたいと思います! 冷たいものでしみるような症状には、むし歯だけでなく知覚過敏の疑いもあります。 知覚過敏になる原因には ①間違った歯磨き 強… 続きを読む
Withマスクの時代のうちに… 2021年11月12日 スタッフblog みなさん、こんにちは!姫路駅前グランツ歯科の歯科医師です。寒くなったと思えば、昼間は暖かかったりと気温差のある毎日ですが、皆様、体調の方はいかがでしょうか? 今日は矯正治療についてご紹介させていただきます。 当院でおこな… 続きを読む
勉強会 2021年11月3日 スタッフblog こんにちは.姫路駅前グランツ歯科の歯科医師です. 冬が駆け足で近づいているようですが,皆様体調にはくれぐれもお気をつけになってお過ごしくだ さい. 私は現在,月に1度セミナーに参加し,診査診断をベース… 続きを読む
歯科技工士の呟き 2021年10月28日 スタッフblog 姫路駅前グランツ歯科・技工士のインプラントマスターです。(と、言いたいところですがまだまだインプラントビギナーです…😃) 前回のブログでは、セラミック、ジルコニアの詰め物と被せ物について掲載させていただき… 続きを読む
歯ぎしり・食いしばりについて 2021年10月15日 スタッフblog こんにちは! 姫路駅前グランツ歯科の歯科技工士です✨ 今週は歯ぎしり・食いしばりについてお伝えします。 〈歯ぎしり・食いしばりで起こること〉 ①自分で自分の歯を削ってしまい、知覚過敏や虫歯のリスクが高くなる… 続きを読む
新しい機器が入りました 2021年10月10日 スタッフblog こんにちは! 姫路駅前グランツ歯科の衛生士です やっと少し寒くなってきましたね この度新しい機械が導入されました お口のメンテナンスを、よりレベルアップするものになりますので是非ご紹介させてください そちらがこの機械、E… 続きを読む
間食の取り方 2021年10月3日 スタッフblog 皆さんこんにちは😌 姫路駅前グランツ歯科の歯科衛生士です。 だんだんと肌寒く、秋らしくなってきましたね🍁 18時頃になると外はもう真っ暗で、日が沈むのが早くなったなぁと感じております&#x… 続きを読む