白い詰め物、被せ物について 2021年2月20日 スタッフblog こんにちは、姫路駅前グランツ歯科の技工士です✨ 今回は、当院での詰め物、被せ物についてお話します。 まず、詰め物に使用するオールセラミックとよばれる材料は、 ・歯との適合性が良い ・見た目が良い ・虫歯の再… 続きを読む
おすすめ歯磨き粉 2021年2月18日 スタッフblog こんにちは。姫路駅前グランツ歯科の歯科衛生士です^_^ 今日は歯科衛生士おすすめの歯磨き粉を ご紹介いたします🦷 今日紹介させていただくのは、こちら リナメルです☆ 当院では大小2つの大きさでご用意してお… 続きを読む
当院の感染対策について 2021年2月6日 スタッフblog みなさんこんにちは☀️ グランツの受付スタッフです☺️ まだまだ寒い日が続いておりますが、皆様いかがお過ごしでしょうか?☺️ さて、本日… 続きを読む
歯医者でよく撮るレントゲンについて 2021年1月31日 スタッフblog こんにちは☺️ 姫路駅前グランツ歯科の衛生士です。 今週末からさらに気温が低くなり寒い日が続いております❄️ みなさん暖かくしてくださいね😌 さて、… 続きを読む
痛くない歯石取り 2021年1月25日 スタッフblog おはようございます。 姫路駅前グランツ歯科のチーフマネージャーです。 先週は雨が降り、少し寒さが和らいだように感じましたが、まだまだ寒さは続いていますね。 緊急事態宣言もあり、なかなかお出かけもしづらい状況ではありますが… 続きを読む
後戻り防止装置(リテーナー) 2021年1月16日 スタッフblog こんにちは!姫路駅前グランツ歯科の技工士です✨ 毎日厳しい寒さが続いておりますが、いかがお過ごしでしょうか。 体調には十分お気をつけください。 今週は歯科矯正後の後戻り防止装置についてお話します♩ 後戻り防… 続きを読む
歯科でするホワイトニングって? 2021年1月13日 スタッフblog こんにちは。姫路駅前グランツ歯科の衛生士です😊 最近は雪が降る日もちらほらとあり、空気が痛く感じる日さえありますね☁️ そんな中、きちんとお口のケアに足を運んでくださる患者様た… 続きを読む
LINE登録について 2020年12月28日 スタッフblog こんにちは✨ グランツ受付スタッフです☺️ もう今年も残すところあと数日ですね😌 さて、ただいまグランツ歯科ではお越しいただいている皆様にLINEのご登録をおすす… 続きを読む
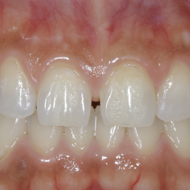
口腔内写真について 2020年12月20日 スタッフblog こんにちは☺️ 姫路駅前グランツ歯科の衛生士です。 今年も残り少なくなってまいりました。 本当に1年経つのが早いなと感じております💦 さて今回は、口腔内写真についてお話したいと… 続きを読む
歯をとかす飲み物 2020年12月21日 スタッフblog こんにちは! 姫路駅前グランツ歯科の衛生士です(*^^*) 今週は一気に冷え込み、もう今年もあと2週間ですね。。 時の進む速さにビックリしてしまいます(笑) 今年の汚れは今年のうちに…⭐︎ さて、ここからは… 続きを読む