
こんにちは☺️
姫路駅前グランツ歯科のチーフマネージャーです。
いつの間にか朝晩は少しずつ寒くなり、日中は何をするにしても過ごしやすい気温となってきましたね⛳️大好きな秋の始まりにワクワクしています🍂🌰
さて、今日は セラミック治療についてご紹介します。
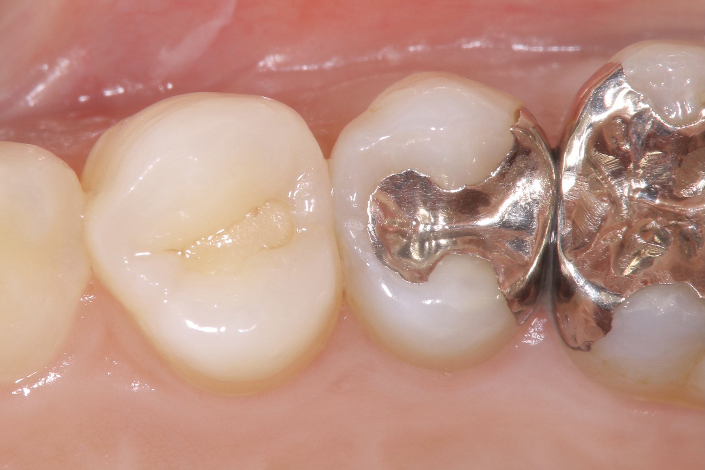
銀のつめ物とむし歯が気になるという事で来院された患者様です。
手前のニ本の歯を、
【セラミック】の詰め物に治しました▶︎▶︎🦷


こちらの写真は、4月から勤務しているDr.西田が治療したものです。
どこが詰め物なのかわからないくらい、ご自身の歯に、とてもキレイに馴染んでいますね。
昔治した銀の詰め物は、二次カリエスといってむし歯が再発している事がほとんどです。
レントゲンを撮っていても金属部分は反射して、中まで見えないことが多いです。
銀歯が取れたり、痛みが出てから気付くことが多い為に、治療となると歯を削る量が増えてしまいます。
当院では、お口の中にある銀歯を白いセラミックにする事は、むし歯予防の一つとして考えております。
‘セラミックは高い’そんなイメージもあるかもしれません。一時的に費用はかかりますが、それ以上のメリットがございます。
再発しない為の器具、厳選された材料の使用、取れにくくする為に詰め物・被せ物の形のこだわり(術者となるドクターの技術や、依頼する技工士の技術など)総合すると、実際には費用以上の手間や時間をかけて作られています。
更に、姫路駅前グランツ歯科には、上手に丁寧に治してくれる優しいドクターが3人もいます!
むし歯の治療は、全て担当制ですのでご安心ください。
少しでも気になった方、
本気で治したい方は、
姫路駅前グランツ歯科に一度足を運んでみてください。まずは、あなたに合わせた治療プランをしっかりお話しさせていただきます。
最後までお読みくださり
ありがとうございました☺️





