姫路駅前グランツ歯科
ブログ
Blog
Blog
こんにちはこんばんは、姫路駅前グランツ歯科の歯科技工士、筒井です! 今回のブログでは「インプラント」をテーマにお話しさせていただきます。
みなさんはインプラントに対してどのようなイメージをお持ちですか?実際、インターネットで検索するとインプラントの悪い情報が記載されていることが多く、何処となく不安なイメージをお持ちの方が多いかと思います…。
しかし、当院では、術前に外科処置のシュミレーションやカンファレンスを行い、治療トラブルを防ぎます。そして我々歯科技工士が、それぞれの患者様に適したインプラントをオーダーメイドで提供させていただいています。正しい知識、処置、機材、補綴物があることで、インプラント治療の成功率は格段に上がります。以前、院長が投稿したブログも合わせてご覧ください。
インプラントは失った歯を補うための治療法であり、天然歯のように元から生えている状態を作りだすことができる画期的な補綴物です。インプラントは1952年の実験で、骨とチタン(金属) が強固に結合する結果が得られ、1965年には歯科治療に取り入れられました。現在にかけて約60年と長い歴史があり、成功率も95%以上と安心です。
残り5%というのは、インプラントの正しい知識を持たない歯科医師が施術を行なった、CT(レントゲン)を持たない歯科医院で治療を行なったなどの事例であり、どれも正しい治療に反したものです。このようなことを防ぐためにも患者様側の医院選びは大切となります。
1.耐久性
しっかり噛み合わせた際や食事において、咬合力が優れているため、他の補綴物より快適にお過ごしいただけます。
2.清掃性
インプラントは歯ブラシで磨きやすい、また、歯科医院で簡単に取り外すことができます※
また、年に3~4回、衛生士によるメンテナンスを怠ることがない限り約10~20年持つと言われています。
(※インプラントにはネジ型・接着型があり、当院ではネジ型をおすすめしております)
3.審美性
まるで天然歯のような補綴物であり、スマイル時にも他人からバレないような自然感を持ちます。

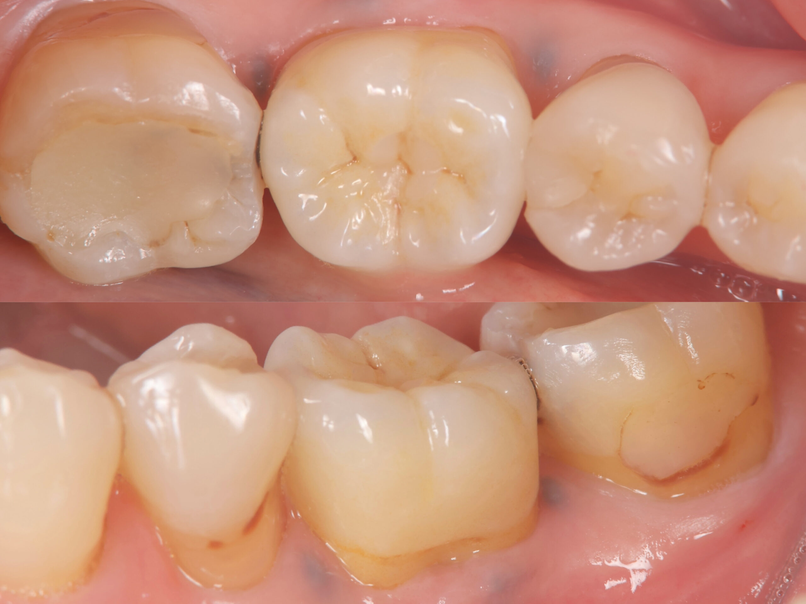
この画像はインプラント治療後の画像です。どこにインプラントが入っているか、お分かりでしょうか?これは第一大臼歯(後ろから2番目)を治療させていただいた際のものです。先ほどお伝えした、耐久性・清掃性・審美性をクリアした私の自信作です✨
いかがでしたか?インプラントは適切な治療、治療計画があると安全で魅力的だと感じていただければ幸いです。治療希望の方、ご興味をお持ちの方は是非、姫路駅前グランツ歯科へお越しください。最後になりますが、今年も残すところあとわずかです。体調には十分に気をつけてより良い年末年始をお過ごしくださいませ(-v-)