
みなさまこんにちは♪
姫路駅前グランツ歯科の歯科衛生士です!
少しずつ日差しが春めいてきましたね🌼ポカポカ暖かい気温がとても待ち遠しいです….♡
今年は花粉の到来も早いようです。時節柄、無理せずお過ごしください☺️
さて本日は、歯医者に行ったことがある方は、一度は聞いたことがあるかと思います”歯石”についてです!歯石には種類があることを知っていましたか??
詳しくお話しさせていただきます!ぜひ、ご覧ください✨
歯石とは
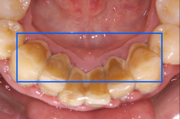
歯石=歯垢(プラーク)が石灰化したもの
不十分な歯磨きのため、長時間除去されていない歯垢(プラーク)と唾液中に含まれるカルシウムやリンが結びついて形成された塊のことです。
歯石自体は、むし歯や歯周病を引き起こしませんが、歯石の表面がざらざらしているので、そこに細菌が増殖し歯周病を引き起こします。
歯石は歯ブラシでの除去が困難になります。
歯石の種類
2種類に分けられます。
歯肉縁上歯石(しにくえんじょうしせき)・・歯茎より上にできる歯石
歯肉縁下歯石(しにくえんかしせき)・・歯茎より下にできる歯石
歯肉縁上歯石の特徴
・黄白色または灰白色
・唾液によって石灰化する
・縁下歯石より柔らかく除去しやすい
・歯肉炎の原因になる

歯肉縁下歯石の特徴
歯と歯肉の間の溝(歯周ポケット)に面した歯根面に付着した歯石です。歯周ポケットからの滲出液や血液により黒褐色になります。
密度が高く固着力も強いため、除去が困難になります。
スケーリングルートプレーニング(SRP)という処置で歯周ポケットの奥深くにある歯石を除去します。これを行っても改善されない場合はフラップ手術という外科的手術が行われます。
フラップ手術は歯肉を切開し、歯周ポケットの奥にある歯石を直接取り除く方法です。

歯肉縁下歯石を放置すると歯周病のリスクも高まる!
縁下歯石がたまると、さらに歯垢(プラーク)も付着しやすくなるので、更に歯石が溜まり歯周ポケットがどんどん深くなります。ポケット内の歯周病原細菌は、歯肉の炎症を起こすだけでなく、歯を支える大事な骨(歯槽骨)まで溶かし始めます。
支えを失った歯はグラグラと揺れ始め、最終的に抜け落ちてしまいます。
歯周病は痛みなどの自覚症状がほとんどなく、非常に気付かれにくい病気です。
どんなに歯石がつかないように心掛けていても、磨ききれない汚れは出てしまいます。
そのため、定期検診はとても大切になってきます。目安は3ヶ月に1回程度ですが、患者様のお口の中の状態によって頻度がかわる場合がございます。
お一人お一人に合った、治療・予防方法をご提案させていただきます。
また、重度の歯周病で”歯を抜かないといけない”と言われたがなるべく抜きたくない”と思われの方も多いと思います。一度ご相談ください。当院では歯周組織再生療法という外科処置をしています。(適応されない場合もあります)
詳しくはこちらをご覧ください💁🏼♀️
本日も最後までお読みいただきありがとうございました✨





